
Причины состояния
Головная боль и слабость в организме могут появляться по разным причинам:
- развитие простудного или вирусного респираторного заболевания;
- развитие воспалительных процессов в организме;
- снижение артериального давления (гипотония);
- недостаток витаминов и минералов в организме (например, витаминов D и B12, отвечающих за транспортировку кислорода по кровеносным сосудам к головному мозгу);
- бесконтрольный прием некоторых лекарственных средств, вызывающих эти симптомы в качестве побочных эффектов;
- нарушение работы щитовидной железы, сахарный диабет и другие эндокринные патологии;
- эмоциональные нагрузки, стрессы;
- некоторые желудочно-кишечные заболевания, сопровождающиеся нарушением впитывания питательных веществ;
- сердечно-сосудистые болезни;
- менингит;
- доброкачественные и злокачественные опухоли;
- мигрень;
- синдром хронической усталости;
- недосыпание.
Как определить заболевание?
Как мы видим, причин головной боли и усталости может быть очень много. А как выяснить, являются эти симптомы признаками опасной патологии или нет?
Мнение эксперта
Филимошин Олег Александрович
Врач-невролог, городская поликлиника г. Оренбурга.
Образование: Оренбургская государственная медицинская академия, Оренбург.
В этом вопросе важно понимать, что развитие серьезного заболевания всегда сопровождается появлением ряда сопутствующих симптомов, которые позволяют дифференцировать ту или иную проблему.
ОРВИ
Описание
Задайте свой вопрос врачу-неврологу бесплатно
Ирина Мартынова. Закончила Воронежский государственный медицинский университет им. Н.Н. Бурденко. Клинический ординатор и невролог БУЗ ВО «Московская поликлиника».Задать вопрос>>
Группа заболеваний, которые характеризуются развитием острого воспалительного процесса в органах дыхания из-за попадания вирусов в организм.
Тип боли
При ОРВИ она связана с повышением температуры и появлением острого воспалительного процесса в горле, пазухах, носоглотке.
Наиболее часто фокусируется в области лба и висков, сопровождается чувством давления, «распирания» и тяжестью.
Другие проявления
ОРВИ может сопровождаться повышением температуры тела до 38-39 градусов, заложенностью носа, кашлем, воспалением в горле, ломотой в теле, ознобом, общим недомоганием, резью в глазах. Иногда на его фоне появляются другие осложнения (отит, ларингит, бронхит и т.д.).
Методы диагностики и терапии
Диагностику проводит врач терапевт, иногда ЛОР. Назначается лечение в домашних условиях, которое включает: постельный режим, микстуры от кашля, сосудосуживающие капли в нос, растительные отвары для полоскания горла, чай с малиной и медом, средства для укрепления иммунитета (Анаферон, настойка эхинацеи, Иммунал).
Мигрень

Мигрень (migraine) – заболевание неврологического характера, отличительным признаком которого является появление мучительных головных болей, связанных с нарушением работы сосудов.
Мнение эксперта
Митруханов Эдуард Петрович
Врач-невролог, городская поликлиника, Москва.
Образование: Российский государственный медицинский университет, ГБОУ ДПО Российская медицинская академия последипломного образования МЗД РФ, Волгоградский государственный медицинский университет, Волгоград.
Серьезные органические патологии (травмы, опухоли) при этом в картине заболевания отсутствуют.
Тип болевых ощущений
Мигрень сопровождается сильными и мучительными головными болями высокой или средней интенсивности, усиливающимися при движении, эпизодическими или постоянными, возникающими с одной или (реже) с двух сторон. При отсутствии лечения приступы могут длиться до 72 часов.
Другие проявления
Тошнота, рвота, фонофобия (чувствительность к громким звукам), учащенное сердцебиение, частое мочеиспускание, потливость, сонливость, вялость.
Методы диагностики и терапии
Диагностику проводит врач невролог. Диагноз утоняется по анализу жалоб пациента, лабораторным анализам, рентгенологическому снимку, МРТ.
Для лечения применяются: успокоительные средства (экстракт валерианы, Персен, Тенотен), растительные и искусственные антидепрессанты (настойка зверобоя, Амитриптилин), НПВП (Напроксен, Ибупрофен), анальгетики.
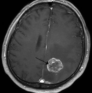
Злокачественная опухоль

Злокачественная опухоль характеризуется появлением патологического новообразования, опасного для человеческой жизни, состоящего из злокачественных раковых клеток, обладающих возможностью быстрого роста и метастазирования.
Тип боли
Интенсивность и характер болевого синдрома зависит от локализации опухоли, тяжести процесса, индивидуальных особенностей организма.
Другие проявления
На начальных стадиях опухоль может никак себя не проявлять вплоть до интенсивного роста новообразования. Тогда самочувствие пациента начинает резко ухудшаться, могут возникать: тошнота, утомляемость, рвота, нарушение слуха и зрения, трудности распознавания речи, расстройства общей и мелкой моторики и т.д.
Клиническая картина при раке очень обширна и многогранная.
Методы диагностики и терапии
Диагностика проводится комплексно и включает: КТ, МРТ, рентгенологическое исследование, лабораторные анализы, гистологию и цитологию. Лечение проводится хирургическое. Пациенту может быть назначен курс химиотерапии или лучевой терапии, а затем длительное медикаментозное поддерживающее лечение.
Менингит

Менингит – тяжелое инфекционное заболевание, характеризующееся воспалением головного и спинного мозга из-за попадания в организм бактерий, вирусов, или грибков.
Возникает как самостоятельное заболевание или в качестве осложнения.
Тип боли
Очень сильная, резкая, диффузная, распирающая, усиливающаяся при движении и повороте головы, а так же от резкого шума и световых раздражителей. При гнойном менингите болевой синдром особенно выражен.
Другие проявления
Пациента могут беспокоить так же: ломота в теле, тошнота, рвота, ригидность шеи, лихорадка, чувствительность к звукам и световым раздражителям, измененное состояние сознания, раздражительность, сонливость.
Методы диагностики и терапии
Для выявления менингита применяется люмбальная пункция. Из позвоночного канала врач извлекает спинномозговую жидкость и направляет ее в лабораторию для дальнейшего исследования. Диагноз подтверждается, если в ней находят вредоносных возбудителей (бактерии, вирусы). Больных менингитом лечат антибиотиками, противовирусными или противогрибковыми препаратами (в зависимости от типа возбудителя).
Иногда назначаются стероидные лекарства.
Боррелиоз

Боррелиоз (Болезнь Лайма) – инфекционное заразное заболевание, передаваемое человеку при укусе насекомыми и клещами.
Тип боли
При боррелиозе больного беспокоят сильные головные боли, чаще локализованные в глазном яблоке, могут отдавать в затылок. Симптомы не проходят даже тогда, когда человек спит.
Другие проявления
Ломота и скованность в мышцах и суставах, высокая температура до 40 градусов, тошнота, рвота, ощущение вялости, нарушение работы ЦНС и сердечно-сосудистой системы.
Болезнь преимущественно поражает кожные покровы, нервную и сердечно-сосудистую систему, опорно-двигательный аппарат.
Способы диагностики и лечения
Болезнь Лайма диагностируется на основании клинической картины, эпидемиологического анамнеза (прогулка в лесу, укус клеща), серологического исследования на выявление антител к боррелиям в сыворотке крови. Может применяться метод ИФА или ПЦР. Лечение назначается комплексное. Выбор препаратов зависит от тяжести болезни. Обязательно назначаются антибиотики, а так же нестероидные противовоспалительные препараты (Напроксен, Индометацин), иммунодепрессанты (Плаквенил), анальгетики, общеукрепляющие средства.
Артериальная гипертония

Заболевание сердечно-сосудистой системы, главным признаком которого является стойкое повышение артериального давления (от 140/90 и выше).
Тип боли
При гипертонии она сжимающая или генерализованная, пульсирующая, иногда вызывает ощущение плотной повязки на голове.
Как правило, сильнее проявляется по утрам, а в течение дня затихает.
Другие проявления
Тошнота, заложенность и шум в ушах, пелена в глазах, учащенное сердцебиение, ощущение давления в глазах, головокружение, вялость, подавленность.
Методы диагностики и лечения
Постановку диагноза осуществляет врач кардиолог на основании анамнеза, жалоб пациента, холтеровского мониторирования, ЭКГ, систематического измерения давления. Лечение комплексное, медикаментозное.
Специалист назначает блокаторы рецепторов ангиотензина, диуретические средства, антогонисты калия, лекарства для очищения сосудов и т.д.
Абузусная головная боль

Специалисты так же называют ее «рикошетной» или «лекарственной». Ее главной причиной является злоупотребление различными аптечными препаратами. Она относится к вторичным формам цефалгий, тесно связана с мигренью.
Тип боли
Проявляется двусторонней цефалгией сжимающего или давящего характера, умеренной или слабой интенсивности. Может быть диффузного характера, локализоваться в лобно-затылочной части или в височной области.
Усиливается при интеллектуальной и физической нагрузке.
Другие проявления
Усталость, вялость, подавленность настроения.
Методы диагностики и терапии
Диагностика осуществляется на основе анамнеза, расспроса пациента о принимаемых препаратах. Для снятия абузуса снижают дозировку принимаемого лекарства или полностью его отменяют, назначают средства от цефалгии, иногда антидепрессанты.
При тяжелом состоянии может потребоваться детоксикация.
Другие причины

- Заболевания придаточных пазух носа (гайморит, этмоидит, фронтит). Болит голова и слабость во всем теле, заложенность носа, давление и тяжесть в голове при наклоне вниз – типичные жалобы при синуситах, которые описывает пациент на приеме у специалиста
- Аллергические реакции. Особенно часто с этими симптомами сталкиваются весной в период активного цветения при аллергии на пыльцу растений и цветов. Пациенты жалуются, что у них болит голова и хочется спать, заложен нос, появляется слезотечение, сыпь на коже и другие признаки поллиноза.
- Гиперсомния — продолжительность ночного сна без объективной необходимости и усталость днем. Сонливость, усталость, головная боль – главные признаки этого состояния. Кстати, астения является разновидностью гиперсомнии.
- Анемия (малокровие) так же характеризуется вялостью, усталостью, болевым синдромом. У пациентов с анемией отмечается снижение гемоглобина, недостаточность функционирования эритроцитов, нехватка кислорода в крови. Отсюда и появляются все эти неприятные симптомы.
- Сахарный диабет и другие проблемы в области эндокринологии тоже являются причиной появления перечисленных симптомов. Диабет сопровождается так же повышением уровня сахара в крои, пониженным давлением, головокружением, сонливостью, жаждой.
Обратите внимание, что это лишь часть тех возможных болезней, при которых могут возникать слабость и головная боль.
Истинную причину этих симптомов может выяснить только специалист.
Алгоритм диагностики
Способы и методы диагностики подбираются индивидуально. Вначале врач осматривает пациента, оценивает характер жалоб, расспрашивает о недавно перенесенных болезнях и хронических недугах. Затем врач уточняет локализацию болевых ощущений, их длительность, частоту возникновения и т.д.
Примерный список вопросов
- Как давно вас беспокоит болевой синдром и слабость?
- Можете ли вы указать, в каком месте вы ощущаете болевые ощущения?
- Как часто вас беспокоят эти симптомы?
- Ощущаете ли вы тошноту в момент приступов?
- Возникают ли у вас головокружения?
- Усиливаются ли симптомы при физической нагрузке?
- Влияет ли ваше состояние на общую активность в течение дня?
- Наблюдали ли вы у ваших родственников похожие признаки?
- Чем вы снимаете неприятные ощущения?
- Какие лекарственные препараты принимаете в настоящее время?
- Какими заболеваниями болели в ближайшие месяцы?
- Какие есть хронические заболевания вас и у ближайших родственников?
Если консультации с пациентом будет недостаточно, врач назначает дополнительные методы диагностики, например, лабораторные анализы, ЭКГ, МРТ и т.д.
На основании полученных данных будет выставлен точный диагноз.
Как снять симптомы самостоятельно?
Если неприятные симптомы были вызваны физической усталостью, умственными нагрузками или напряжением в течение рабочего дня, болевой синдром можно устранить самостоятельно, не прибегая к лекарственным препаратам.
Положительное действие оказывают пешие прогулки на свежем воздухе, контрастный душ, принятие теплой ванны с морской солью, проветривание помещения, медитация. Можно просто полежать, расслабиться, послушать спокойную музыку, почитать легкую интересную книгу.
Если болит голова, можно сделать ароматный чай с листьями мяты, шиповником, лимоном, клюквой или ромашкой. Такие напитки обладают общеукрепляющим, успокаивающим действием, придают сил, повышают иммунитет, улучшают работу головного мозга.
В некоторых случаях возможен прием простых обезболивающих средств (Ношпа, Спазган).
При этом следует помнить, что у каждого средства есть противопоказания и побочные действия, поэтому лучше перед их применением посоветоваться с врачом.
В каком случае обращаться к врачу?
Пациенту важно знать! Если болевые ощущения в голове и усталость сопровождаются другими симптомами (тошнота, рвота, нарушение зрения, чувствительность к громким звукам, дезориентация в пространстве и т.д.), следует незамедлительно обратиться к врачу для оказания помощи!
Посмотрите видео на эту тему

Заключение
Слабость и головная боль – распространенные симптомы, с которыми врачам приходится сталкиваться в клинической практике достаточно часто. Чаще всего они не представляют угрозы для здоровья и жизни пациента, легко купируются домашними и легкими медикаментозными средствами.
Но бывают ситуации и более тяжелые, когда признаки эти могут указывать на развитие серьезных заболеваний. Поэтому врачи советуют быть внимательными к своему самочувствию и при необходимости не откладывать визит к врачу. Будьте здоровы.
Источник
Слабость в теле
Жители современных мегаполисов с ощущением слабости в теле знакомы очень хорошо. Напряженная работа, стрессовые ситуации, недостаточное количество свежего воздуха в офисах, неудовлетворительная экологическая ситуация – предрасполагающих к появлению неприятных ощущений факторов существует немало. Как правило, даже после непродолжительного отдыха организм восстанавливается. Но иногда слабость не покидает тело на протяжении нескольких дней, а то и недель. И это не очень хороший симптом.
Причины слабости в теле и сонливости
Зачастую слабость, указывающая на серьезные нарушения в работе организма, сопровождается дополнительными симптомами. Такими, как:
- бледность;
- ломкость волос или ногтей;
- перхоть;
- высыпания;
- рассеянность;
- ухудшение памяти;
- апатичность;
- тревожность;
- головная боль;
- головокружения.
Страдать от слабости в теле могут разные люди: и дети, и старики, и мужчины, и женщины. И все же специалисты выделяют несколько групп населения, попадающих в зону повышенного риска. Среди них отмечаются:
- молодые люди в период полового созревания;
- пациенты с сахарным диабетом ;
- беременные и недавно родившие женщины;
- женщины во время климактерического периода;
- работники офисов, и те, кто задействован в социальной сфере;
- вегетарианцы.
Кроме того, ощущение слабости может появляться у девушек во время менструации и тех представительниц прекрасного пола, которые изводят себя жесткими диетами.
Приводить к упадку сил могут не только физические, но и психологические, эмоциональные факторы. К основным причинам слабости в теле принято относить следующие:
- Хроническая усталость практически всегда выбивает из колеи. Диагноз этот в последнее время ставится все чаще. Пик «заболеваемости» припадает на зиму и осень – периоды, когда в организм не поступает достаточное количество витаминов и прочих полезных веществ.
- Неприятная слабость в теле и сонливость – последствие хронического недосыпания. Многим этот термин кажется несерьезным, но на самом деле заболевание, связанное с недосыпанием, существует и является довольно опасным. Разумеется, одна – две бессонные ночи сильно на здоровье не повлияют. Гораздо более опасен регулярный недосып – рано или поздно организм самостоятельно попытается наверстать упущенное.
- Вызывать слабость могут и неврологические патологии: инсульт, заболевания центральной нервной системы, атеросклероз, добро- и злокачественные новообразования в мозге. Иногда проблемы начинаются после серьезных черепно-мозговых травм.
- У некоторых пациентов резкая слабость во всем теле появляется из-за железодефицитной анемии. На фоне снижения содержания железа в организме резко уменьшается количество гемоглобина. и развивается гипоксия. Все это приводит к торможению работы организма в целом и мозга в частности.
- Появляется чувство слабости в теле и при заболеваниях сердечно-сосудистой системы: аритмии, вегето-сосудистой дистонии, тахикардии и прочих. Большинство недугов при этом сопровождается головокружениями, приступами тошноты и рвоты.
- Бывает и так, что упадок сил – признак нарушений в работе щитовидной железы.
Как вылечить сильную слабость во всем теле?
На самом деле вылечить слабость нельзя. А вот устранить ее, вылечив заболевание, спровоцировавшее упадок сил, можно:
- Если проблема – в переутомлениях, срочно нужно пересмотреть свой график и добавить в него больше времени на сон и отдых.
- Не следует придерживаться диеты, если она приводит к слабости.
- Осенью и зимой организм следует поддерживать витаминными комплексами.
Отчего все тело болит
Часто после чрезмерных физических нагрузок или на первых этапах занятий в спортзале человек испытывает ноющие боли по всему телу. Как правило, подобные болевые ощущения не длятся более нескольких суток и проходят сами по себе после того, как организм получит необходимый отдых. Однако нередко все тело болит регулярно на протяжении долгого времени, что может быть симптомом различных довольно серьезных заболеваний. требующих немедленного лечения.
Почему болит все тело: основные причины
Как известно, чаще всего боли во всем теле являются ответной реакцией организма на различные инфекционные заболевания (могут даже быть следствием пневмонии !), всевозможных травм и физического перенапряжения.
Инфекционные болезни часто сопровождаются следующими признаками: все тело болит, ломота в костях и суставах, беспокойный сон, головная боль, повышение температуры. Бывает и так, что при наличии инфекционного процесса температура, наоборот, понижается, а больной испытывает недомогание в виде вялости, нежелания двигаться и выделения холодного пота. Вместе с этим зачастую боли во всем теле наблюдаются при таких проблемах как:
- Различные заболевания крови (лимфома, лейкоз и т. д.);
- Наличие злокачественной опухоли;
- Аутоиммунные заболевания (например, волчанка);
- Поражение соединительной ткани (ревматоидный артрит);
- Пищевое отравление ;
- Укус клеща.
Болезни крови и злокачественные опухоли требуют немедленного лечения, поэтому если тело болит постоянно, но симптомов простуды не наблюдается, необходимо, как можно раньше пройти обследование.
При аутоиммунных заболеваниях и поражении соединительной ткани патогенный процесс внутри суставов способствует распространению боли на прилежащие мускулы. Этим объясняются боли во всем теле, мешающие человеку жить полноценной жизнью.
Характерными признаками ревматоидного артрита являются болевые ощущения в утренние часы после сна. Как правило, после того, как больной немного подвигается, они значительно утихают. При остеоартритах же тело болит, наоборот, в вечернее время суток .
Пищевое отравление также может стать ответом на вопрос, почему болят все мышцы тела. Очень часто подобные недуги сопровождаются такими дополнительными симптомами как высокая температура, общая слабость организма, резкие боли в нижней части живота. Опять-таки наблюдаются случаи, когда температура бывает ниже нормы, больной испытывает озноб, на теле выступает холодный пот и все тело болит.
Укусы некоторых клещей, которые являются переносчиками инфекционного заболевания, также могут спровоцировать ноющие боли во всем теле. Определить причину заболевания в данном случае не составляет особого труда: как правило, после такого укуса появляется сыпь в виде маленьких пузырьков с прозрачной жидкостью внутри. Кроме того, часто наблюдается покраснение кожи не только на месте укуса, но и на других участках тела.
Таким образом, если тело болит постоянно, необходимо сразу проконсультироваться с врачом. Ведь, кроме того, что данный симптом может свидетельствовать о наличии различных заболеваний, он часто может привести к следующим проблемам:
- Сильная хроническая боль, сменившая умеренные болевые ощущения;
- Усталость;
- Бессонница;
- Ослабление иммунной системы человека;
- Вынужденный отказ от активности;
- Стрессы и резкие перепады настроения;
- Другие психологические проблемы (повышенная раздражительность, тревожность, необъяснимые страхи, депрессия и т. д.).
Почему болят все мышцы тела
Когда регулярно все тело болит, причиной может выступать, кроме вышеназванных болезней, также такое распространенное хроническое заболевание как фибромиалгия. Несмотря на то, что по некоторым данным, ею страдает каждый десятый человек на земле, как болезнь, так и ее причины до сих пор полностью не изучены. Именно поэтому фибромиалгия диагностируется редко.
Тем не менее данным заболеванием очень часто можно объяснить, почему болит все тело. Однако лабораторных тестов для выявления этого недуга не существует, поэтому врачам приходится опираться на конкретные данные проведенного общего обследования и жалобы пациента. Диагностику затрудняет также то обстоятельство, что сопутствующие симптомы этой болезни у разных больных бывают совершенно разными. Среди самых распространенных признаков, кроме болевых ощущений по всему телу, можно отметить:
- Хроническую усталость;
- Нарушение сна ;
- Рассеянную боль в связках, сухожилиях и мышцах.
Врачей вводит в заблуждение также следующий факт: некоторые больные жалуются на то, что все тело болит, а другие, напротив, отмечают конкретные центры болезненных ощущений. При этом диагноз у пациентов одинаковый.
Примечательно, что около 80% страдающих фибромиалгией – представительницы женского пола. Некоторые ученые связывают это с тем, что данное заболевание провоцируется повышением центральной чувствительности. Таким образом, причины того, что все тело болит, кроются в головном мозге, который и меняет свои функции в сторону чувствительности. Неудивительно, что одним из основных признаков заболевания считается снижение болевого порога.
Кроме симптоматического лечения, направленного на снятие болевых ощущений, при таком диагнозе часто прописывают антидепрессанты, призванные в данном случае восстановить правильную работу мозга.
Если на вопрос, почему болит все тело, врач отвечает, что у пациента фибромиалгия, необходимо в первую очередь исключить из своей жизни всевозможные стрессовые ситуации. Вместе с этим, как правило, рекомендуются:
- Мышечные релаксанты;
- Нестероидные противовоспалительные средства;
- Снотворное;
- Противосудорожные препараты;
- Мануальная терапия.
Когда наблюдается общая слабость и болит все тело, следует серьезно заняться укреплением иммунной системы. Употребление в пищу продуктов, содержащих большое количество витаминов, и частые прогулки на свежем воздухе – лучшие средства для борьбы со слабостью организма.
Как бороться с болью во всем теле самостоятельно
Когда все тело болит, это обычно сопровождается практически невыносимой усталостью. Кроме некоторых медикаментов, подобное состояние могут значительно облегчить физические упражнения. Конечно, многие больные избегают всяческих физических нагрузок, боясь усилить боль. Но умеренные упражнения, наоборот, помогают снять болевые ощущения и неподвижность мышц.
Когда больного мучает общая слабость и болит все тело, регулярные физические нагрузки могут устранить эти симптомы: при упражнениях организмом выделяются эндорфины, которые являются естественным обезболивающим средством.
Не стоит забывать и об эффективных методах релаксации. Когда все тело болит, дыхательные упражнения и глубокое расслабление мышц способствуют уменьшению болевых ощущений довольно быстро.
Среди альтернативных методов лечения можно отметить такие как:
- Иглорефлексотерапия;
- Массаж глубоких тканей;
- Нервно-мышечный массаж.
Тем не менее, когда все тело болит, следует обратиться за помощью к специалисту, выявить их причину и лишь после этого начинать лечение.
Понравилась статья? Поделись с друзьями.
Боли во всем теле
Содержание
Больные с высокой температурой предъявляют жалобы на повышение температуры тела или наличие озноба, чувство жара, повышенную потливость, боль во всем теле. При систематическом (утром и вечером) измерении температуры тела обращается внимание на тип лихорадки (высота температуры, ее суточные колебания, длительность повышения температуры тела и т.д.). Определенный тип лихорадки (температурной кривой) характерен для отдельных инфекционных заболеваний и несет ценную информацию. Поэтому всем инфекционным больным, находящимся на лечении дома и, тем более, в больнице, температура тела измеряется минимум 2 раза (утром и вечером). Дома температура тела больного записывается на отдельном листе, чтобы потом предоставить эти информативные данные врачу.
При каких заболеваниях возникает боль во всем теле
Причины боли во всем теле:
— Помимо чрезмерной физической нагрузки, различных травм и вирусных заболеваний — от простуды или гриппа до воспаления легких, в результате чего вы можете чувствовать боли во всем теле, существуют другие причины подобных расстройств, действие которых пока еще не вполне ясно. На вторжение вирусов в организм иммунная система отвечает защитной реакцией — развитием воспалительною процесса, с которым и связаны боли в мышцах.
— В результате укусов некоторых клещей, являющихся переносчиками инфекционных заболеваний, могут возникать боли во всех суставах. Хотя угроза, исходящая от этих паразитов, в настоящее время несколько уменьшилась, проблема возникновения расстройств остается. Признаками заболевания вследствие укуса клеща являются сыпь в виде пузырьков с прозрачной жидкостью, покраснение кожи в месте укуса или на других участках тела (а подтверждением факта укуса может служить прогулка в лесу за несколько недель до появления болей).
— Боль во всем теле может быть признаком гематологических заболеваний (лейкозы, лимфомы), а также онкологической патологии (рак)
— Возникновение болей во всем теле может быть связано с некоторыми другими заболеваниями. Так, при поражении суставов боли распространяются на близлежащие мышцы. Причиной этих расстройств могут быть заболевания соединительной ткани или аутоиммунные нарушения, в частности ревматоидный артрит или (в редких случаях) волчанка. Симптомы этих заболеваний бывают различной степени тяжести, и мягко протекающие формы заболеваний ошибочно рассматриваются как другие расстройства.
При ревматоидном артрите боли обычно бывают сильнее выражены по утрам, когда человек начинает заниматься чем-либо после периода ночного покоя. Однако вскоре, после 30-60 минут движения состояние улучшается. Артриты вследствие дегенеративных изменений костной ткани (так называемые остеоартриты) обычно проявляются усилением боли ближе к концу дня.
— Подавляющее большинство инфекционных больных жалуется на общее недомогание, слабость, разбитость, чувство боли во всем теле, боли в мышцах, суставах, нарушение сна и почти всегда, головную боль.
Интенсивность перечисленных страданий инфекционного больного зависит прежде всего от характера, тяжести и формы заболевания.
Большинство инфекционных болезней протекает с повышением температуры тела выше 37,0 С. Правда, существуют заболевания, когда интоксикация (общая слабость, мышечная слабость, адинамия, холодный пот и т.п.) очень выражена, а температура тела даже понижена (ниже 36,6 С) — ботулизм, пищевое отравление токсинами (ядами) некоторых бактерий.
К каким врачам обращаться, если возникает боль во всем теле
Инфекционист
Ревматолог
Гематолог
Онколог
Скажи!
Комментариев пока нет!
Источник

