Боль в горле, которая отдает в ухо — весьма распространенная жалоба пациентов на приеме у специалиста по отоларингологии.
Согласно медицинским статистическим данным (по Европейскому Союзу за 2014-2017 годы) с подобной жалобой к врачу обращалось до 15% всех пациентов с первичными проблемами ЛОР-сферы. Это существенная цифра.
Как правило, боль в горле и ухе с одной стороны или сразу с двух (чаще имеет место первый случай) обусловлена комплексным патологическим процессом, который затрагивает сразу несколько анатомических структур. Но не всегда так.
С другой же стороны болевой синдром может иррадиировать в ухо ввиду хорошей иннервации. Следует разобраться несколько подробнее.
Заболевания, провоцирующие боль в горле и ухе
Описанные симптомы встречается при множестве возможных патологических процессов, а не являются характерным признаком какой-то одной болезни. Всвязи с этим самостоятельно выявить причину невозможно, потребуется инструментальная и лабораторная диагностика.
Синусит
В общем смысле синусит представляет собой воспаление придаточных пазух носа. Они негомогенны по своему характеру и подразделяются на несколько групп. Соответственно воспалительные процессы будут иметь разные названия.
- Этмоидит — воспаление решетчатого лабиринта.
- Гайморит — поражение гайморовых пазух.
- Сфеноидит — процесс в пазухах клиновидной кости.
- Фронтит — воспалителение, локализованное в лобных пазухах.
Причины развития патологического процесса всегда примерно одни и те же. Это острая бактериальная инфекция или вирусное/грибковое поражение верхних дыхательных путей.
Нередко синуситы идут «приятным бонусом» к основным заболеваниям: тонзиллиту, отиту и иным. В такой ситуации говорят о воспалении пазух как об осложнении болезни.
Симптоматика весьма типична и характерна. Спутать ее довольно сложно. Среди проявлений можно выделить:
- Обильное истечение слизи из носовых ходов. Встречается подобное, однако, не всегда. Так, при катаральной форме превалирует заложенность.
- Дискомфортные ощущения в носовых ходах. Возникает чувство давления, сжатия, пульсации.
- Повышение температуры тела до значительных отметок. Также не аксиоматично. Возможны и нормальные показатели градусника. Если же гипертермия присутствует речь идет о сравнительно высоких цифрах в 38-39 градусов и даже чуть выше при остро текущем процессе.
- Боль в горле, отдает в ухо и ощущение заложенности одного или сразу двух ушей.
- Экссудация. На поздних этапах из носовых ходов истекает зеленый или желтый гной.
- Общая интоксикация и ее проявления: озноб, чувство жара, слабость, головные боли и иные симптомы.
Лечение специфическое. Заключается в использовании медикаментов нескольких фармацевтических типов. Среди них противовоспалительные, антибиотики (в обязательном порядке), противовирусные препараты, противогрибковые средства (в зависимости от типа возбудителя болезни).
Пресловутая пункция пазух или «прокол» — это крайняя мера, к которой прибегают исключительно редко ввиду травматичности.
Интересно:
В европейской и американской практике к пункции вовсе не прибегают кроме случаев, несущих опасность жизни пациента. В России и странах СНГ прокол практикуется чаще, поскольку это самая простая и дешевая процедура.
Подробнее о заболевании читайте в этой статье. Тактика лечения гайморита в домашних условиях описана здесь.
Лимфаденит
Лимфаденит представляет собой воспаление структур лимфатических узлов (обычно шейных).
Патологический процесс имеет массу причин, но в подавляющем большинстве случаев он вторичен. То есть развивается как итог течения того или иного заболевания горла или ушей (отит, тонзиллит, фарингит и другие).
Первичный лимфаденит встречается крайне редко, что обусловлено особенностями организма человека.
Симптоматика включает в себя следующие признаки:
- Боль в горле, которая отдает в ухо и голову. Это легко объясняется с одной стороны протяженностью лимфатического пути, с другой же стороны обильной иннервацией данных анатомических структур. Боль сильная, тюкающая, локализуется в основном в области боковой стороны шеи, двустороннее поражение менее характерно. Иногда определить локализацию неприятного ощущения невозможно.
- Повышение температуры тела до фебрильных отметок в 38.1-39.2 градуса и чуть более того.
- Симптомы общей интоксикации организма. Это симптомокомплекс входящий в перечень признаков болезни. Характеризуется слабостью, головной болью, ощущением ватности тела и т.д.
- Гиперемия (покраснение) кожного покрова в месте поражения. Встречается не всегда. При легко текущем процессе симптом отсутствует.
- Образование уплотнений в области пораженного лимфатического узла. При пальпации они определяются как небольшие шишки. В крайних случаях становятся видны невооруженным глазом. Это тревожный признак, нужно сразу обращаться к врачу. В такой ситуации говорят о возникновении абсцесса в области лимфатического узла.
- Болевой синдром усиливается при поворотах головы и глотании.
Лечение. Заключается все в том же приеме препаратов разных групп: антибиотиков, противовоспалительных нестероидного происхождения, противогрибовых или противовирусных, если болезнь опять же имеет подобную этиологию и т.д.
Важно не лечиться самостоятельно. Это чревато летальным исходом. У детей же лимфаденит протекает в более агрессивной форме и часто приводит к смерти.
Фарингит
Согласно стандартному медицинскому определению, фарингит — это воспаление небно-глоточной дужки и мягкого неба вообще. Встречается в равной степени у мужчин и женщин.
Страдают же в основном лица младшего возраста, от 5 до 15 лет, что связано с несовершенством иммунной системы. Также болеют курильщики, работники вредных производств.
Причины в подавляющем большинстве случаев инфекционные. Однако возможны и травматические. При уже названном курении, употреблении черезмерного количества алкоголя и т.д. происходит химическая либо термическая травматизация слизистой и, как итог, начало патологического процесса в горле.
Необходимо различать симптомы фарингита, они характерны:
- Болезненность в горле. Сильная, жгучая, тянущая, режущая, тюкающая. Возникает спонтанно, длится постоянно и усиливается при проглатывании пищи и холодных напитков.
- Исчезновение голоса. Проявляется не всегда, но возможно как тотальное отсутствие голоса, так и его охриплость, осиплость. В любом случае пациент не может нормально говорить.
- Кашель непродуктивного характера. Мокрота не отходит, что усугубляет состояние и делает необходимой борьбу с таким рефлексом. Проявление имеет стойкий, непреходящий характер и существенно снижает качество жизни.
- Першение в горле. Встречается почти всегда. Обуславливает начало кашля.
- Повышение температуры тела до субфебрильных или фебрильных отметок. Развивается в большинстве случаев острого фарингита. При хронической его форме заболевание протекает без температуры.
Лечение классическое. Как и в предыдущих случаях требуется комплексный подход с применением противовоспалительных и антибиотиков широкого спектра действия. Возможно использование антисептических растворов.
Тонзиллит
Иначе называется ангиной. Это широко распространенное наименование.
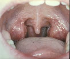
Тонзиллит почти всегда дает сочетание боли в горле и боли в ухе, при глотании возможен стреляющий ее характер. Это патогномичный признак заболевания.
Причины развития патологического процесса всегда одни и те же: это поражение ротоглотки вирусами, грибками или же бактериями.
Наиболее частый «гость» человеческого организма — это золотистый стафилококк. Несколько реже ангины провоцируются стрептококками, герпетическими агентами и иными структурами.
Симптоматика патологии следующая:
- Интенсивные боли в горле, отдающие в ухо, голову, шею, зубы, гайморовы пазухи и лицо вообще. Характер боли тянущий, жгучий, саднящий. Справедливо сказанное в основном для острой формы болезни. При хроническом ее течении проявления смазаны, клиническая картина менее заметна.
- Кашель непродуктивного характера, обусловленный рефлекторным процессом.
- Першение в горле. Вызывает кашлевой рефлекс, как и в предыдущем случае.
- Экссудация из горла. Иначе говоря — выделение большого количества желтого или зеленого гноя.
- Повышение температуры тела до 39 градусов Цельсия и более того.
- Слабость, сонливость, озноб и иные проявления общей интоксикации организма пациента.
- Гиперемия (покраснение) зева.
- Появление белого налета на миндалинах и в горле вообще. Страдает также мягкое небо.
- Боль в ухе проявляется, преимущественно, при жевании и глотании. Но возможна подобная взаимосвязь симптомов далеко не всегда.
Лечение предполагает использование антибиотиков широкого спектра действия или узконаправленного эффекта (в зависимости от возбудителя), антисептических растворов и противовоспалительных средств.
В зависимости от этиологии процесса (см. какие виды ангины бывают) возможно использование противовирусных или противогрибковых препаратов.
Отит
Отит — это воспаление внутреннего, среднего или наружного уха. Слуховой проход имеет крайне сложное строение, потому это заболевание считается опасным. В первую очередь своими осложнениями.
Наибольшая вероятность развития отита наблюдается у детей раннего возраста из-за особенностей строения слуховой трубы. Также часто страдают пловцы, монтажники на больших высотах, пилоты, стюардессы, дайверы и т.д., что связано с сильной нагрузкой на ухо.
Причины развития патологии можно подразделить на две группы: инфекционные и неинфекционные. Первые, конечно же, встречаются в разы чаще.
Неинфекционные факторы касаются компрессии барабанной перепонки в результате изменения давления. Как уже было сказано, страдают лица, работающие на высоте или любители погружения в водоемы на большие глубины.
Отит сопровождается типичными симптомами. Наблюдаются:
- Односторонняя боль в пораженном ухе. При этом она отдает в горло, что на первый взгляд довольно странно. На самом же деле речь идет о близости анатомических структур, потому симптоматика встречается весьма часто. Боль тюкающая, стреляющая. При острой форме отита наблюдается существенное снижение качества жизни пациента. Хроническая форма переносится несколько легче.
- Гиперемия дермального слоя, локализованного возле самого уха. Встречается не всегда, но такое возможно.
- Повышение температуры тела до субфебрильных или фебрильных отметок.
- Головная боль. Обусловлена иннервацией.
- Головокружение. Обычно при поражении внутреннего уха, что объясняется нарушением работы вестибулярного аппарата.
- Шум в одном или двух ушах.
- Ощущение заложенности, нарушение нормального слуха.
- Выделения из уха. Обычно серозного или гнойного характера.
Всего встречается три вида отита:
- Поражение внутреннего уха. Наиболее тяжелая форма патологического процесса. Характеризуется нарушением вестибулярных функций.
- Поражение среднего уха.
Поражение наружного уха. Встречается чаще остальных. Затрагивает барабанную перепонку.
Болезнь опасна своими осложнениями. В том числе возможно необратимое снижение слуха, полная его потеря на больной стороне, менингит, сепсис и даже летальный исход. Наиболее опасен отит для детей младшего возраста.
Существуют и иные патологии, которые могут проявляться подобным образом: скарлатина, рак горла, доброкачественные опухоли, ветряная оспа, дифтерия и некоторые иные. Но наиболее часто, рассматриваемые симптомы, такие как боль в горле и ухе одновременно встречаются при описанных выше патологических процессах.
Как облегчить свое состояние?
Если боль сопровождается повышенной температурой подойдут противовоспалительные нестероидного происхождения: «Ибупрофен», «Парацетамол», «Ибуклин», «Нурофен». Эти препараты эффективно устраняют болевые ощущения, в том числе головные, ушные, мышечные, суставные и нормализуют температуру тела. Эффект наступает уже через 20 минут после применения.
Если температуры нет, помогут анальгетики: «Анальгин» или «Баралгин». Эффект будет аналогичный, только без влияния на центр терморегуляции (в данном случае это и не требуется).
Для устранения болевых ощущений только в горле подойдут спреи для его орошения, либо таблетки для рассасывания с анестетиком (лидокаином или бензокаином). Перечень аэрозолей с обезболивающим эффектом здесь, а таблеток тут.
Важно понимать, что лечением описанные препараты не являются. Это лишь временная мера для облегчения боли.
Лечить нужно первопричину (патологию вызвавшую боль в ухе и горле), а чтобы ее выявить необходимо пройти список обследований.
Диагностика
Диагностика — прерогатива специалиста по отоларингологии. Весь комплекс первичных исследований включает в себя:
- Сбор анамнеза.
- Устный опрос.
- Визуальную оценку зева.
- Визуальную оценку слуховых ходов.
- Ларингоскопию (в крайних случаях).
- Забор мазка из зева.
- Бактериологический посев мазка.
- ПЦР, ИФА-диагностику.
- Анализ крови общий и биохимический.
Это необходимый минимум, который с большой долей вероятности позволит установить возбудителя и локализацию патологического процесса. Для уточнения диагноза могут потребоваться и другие специфические исследования, по ситуации.
Если у пациента болит горло и ухо — это тревожный симптом, характерный для десятка различных заболеваний. Нужно пройти обследование и начать лечение конкретной патологии, ставшей виновником болевых ощущений. В противном случае вероятны осложнения.
Вконтакте
Одноклассники
Мой мир
Источник
Очень часто люди страдают от того, что болит ухо и горло с одной стороны.
Некоторые идут к доктору с такими жалобами, но большинство старается справиться с недомоганием своими силами.
Поэтому важно разобраться, что можно делать в подобных ситуациях, а что нет. А также понять, когда откладывать консультацию у узкого специалиста уже нельзя.
Боль в горле отдает в уши: причины
Все ЛОР-органы являются сообщающейся системой. Горло и органы слуха соединены между собой евстахиевыми трубами, расположенными с правой стороны и с левой.
Благодаря им происходит выравнивание давления в барабанной полости, что требуется для различения звуков, осуществления дыхательной, глотательной и речевой функций.
Вход в евстахиеву или слуховую трубу, открывающийся в рот, значительно шире ее противоположного конца. У взрослых она достаточно извитая и ее длина составляет около 3,5 см.
У детей слуховая труба довольно широкая и короткая, чем объясняется тот факт, что у них намного чаще появляется боль в горле и ушах при глотании одновременно.
Тесная связь между евстахиевыми трубами и ротоглоткой провоцирует то, что при воспалительных процессах в носоглотке микроорганизмы с легкостью проникают в слуховые трубы и, поднимаясь по ним, поражают барабанную полость. Вследствие этого пациенты могут заметить, что сначала болело горло, потом заболело ухо.
- Такая ситуация типична для ОРВИ и бактериальных инфекций. Если вовремя не приступить к лечению, в воспалительный процесс способны вовлечься и нервы. ЛОР-органы иннервируются тройничным, языкоглоточным и блуждающим нервами. Одной из их функциональных задач является контроль над круговой мышцей, сжимающей глотку.
- Потому при отсутствии грамотной терапии и распространении воспаления на нервные волокна способна не только появляться резкая боль в ухе и горле с той или иной стороны, которая отдает в голову, но и тяжелые невралгии. Лечение подобных осложнений длительное и сложное, поэтому значительно лучше не допускать их развития.
- Воспаление способно носить односторонний характер или двусторонний. Но в подавляющем большинстве случаев першение и дискомфорт ощущаются только справа, несколько реже это наблюдается с левой стороны.
Заболевания, способные сопровождаться дискомфортом в ухе
Среди распространенных причин того, что болит горло и отдает в ухо, находятся следующие заболевания:
1
Фарингит – обширное воспаление задней стенки глотки и небно-глоточной дужки, присущее обычно детям от 6 лет и подросткам. Это сопровождается разлитым дискомфортом в глотке разной интенсивности, при этом обычно больно глотать и нередко наблюдается осиплость. Из-за горла появляется заложенность ушей, что при отсутствии должной терапии приведет к их поражению.
2
Ангина (тонзиллит) – самая часто встречаемая причина того, почему появляется боль в горле и ухе с одной стороны, поскольку большая часть взрослого населения планеты имеет эту патологию в хронической форме. Для нее типично периодическое обострение, что сопровождается чувством саднения в глотке и жаром.
Но основным отличительным признаком является то, что гланда покрывается белым налетом или в ней образуются пробки. Нередко этому сопутствует то, что когда глотаешь, болит в ухе. Причем в большинстве случаев страдает правая сторона.
3
Ларингит – воспаление гортани, что нередко сопровождается отеканием слизистых оболочек. У ребенка часто отек сдавливает органы дыхания, что провоцирует затруднение вдоха и выдоха, появляется характерный присвист и кашель.
Также типично першение в горле, что учащает приступы сухого кашля. У взрослых ларингит часто развивается на фоне курения, работы на вредных производствах или связанной с необходимостью часто и подолгу говорить.
4
Синусит – воспалительное заболевание придаточных пазух носа. Чаще всего поражаются гайморовы или верхнечелюстные и лобные синусы. Для патологии типичны лихорадка, заложенность носа, насморк разной степени интенсивности и головные боли.
При серьезных формах патологии возможно образование гнойных выделений и нарушение оттока содержимого из пораженных пазух. Это провоцирует ухудшение состояния, выраженные боли при наклоне головы вперед, способные иррадиировать в ухо.
5
Лимфаденит – воспаление лимфатических узлов. Чаще всего поражаются шейные лимфоузлы только в одной половине, что сопровождается лихорадкой, слабостью, покраснением кожи и формированием уплотнений в области поражения.
Часто при лимфадените болит горло и ухо, что обусловлено тесной взаимосвязью всех элементов лимфатической системы между собой, а гланды представляют собой скопление лимфоидной ткани. Кроме того, многие пациенты жалуются на то, что заложило ухо, а интенсивность боли нарастает при сглатывании слюны и поворотах головой.
Источник: nasmorkam.net
При возникновении подобных болезней патогенная микрофлора может по евстахиевым трубам подниматься в ухо и провоцировать воспаление в нем. Это называется отит. При нем больные жалуются на то, что:
- болит или стреляет в ухе;
- закладывает уши;
- отдает в ухо при глотании;
- ухудшается слух.
Также для отита типична слабость, лихорадка и ухудшение общего состояния, хотя иногда температуры нет. При появлении его симптомов необходимо сразу же начинать лечение, поскольку воспаление способно распространиться на внутренние ушные структуры и даже мозговые оболочки.
Аналогичные симптомы наблюдаются и при:
- кори;
- дифтерии;
- скарлатине;
- ветряной оспе.
Тем не менее иногда дискомфорт может быть обусловлен более серьезными проблемами, в частности флегмоной. Для этой патологии типично образование полости внутри мягких тканей, в которой накапливается гной.
При накоплении большого объема секрета это новообразование может разорваться наружу или внутрь. Последний вариант таит опасность для здоровья и жизни больного, поскольку гнойные массы способны проникнуть в кровеносное русло и вызвать сепсис.
При глотании боль в ушах: провоцирующие факторы
Спровоцировать то, что болит ухо при глотании, способно множество разнообразных факторов. Они провоцируют воспаление в глотке, что и служит главной причиной появления дискомфорта. Это:
- вирусы;
- бактериальные инфекции;
- снижение иммунитета, вследствие чего условно-патогенные бактерии получают возможность активно размножаться и поражать слизистые оболочки;
- курение;
- вдыхание слишком горячего или холодного воздуха;
- работа на вредных производствах.
Иногда даже длительное пребывание в помещении с сухим воздухом способно отрицательно сказаться на состоянии слизистых оболочек носоглотки, поскольку слюна может не справляться с функцией их увлажнения.
Когда обратиться к врачу? Какой нужен?
Поводом для обязательного посещения врача служит стойкое сохранение симптомов и температуры более 3 дней. Оптимальным вариантом является консультация ЛОРа (отоларинголога), но за неимением такового в районной поликлинике можно посетить терапевта.
Также обратиться к специалистам за медицинской помощью потребуется при:
- образовании гнойного отделяемого в слуховом проходе;
- формировании гнойника в горле;
- симптомах ангины.
Диагностика
На основании имеющихся жалоб и результатов визуального осмотра доктор может назначить ряд дополнительных исследований, призванный уточнить природу нарушения состояния и разработать максимально эффективное лечение. Это:
- ОАК;
- бактериологическое исследование мазка из зева;
- ПЦР;
- ИФА;
- биохимическое исследование крови.
Болит горло и отдает в ухо: что делать? Первая помощь
Когда боль в горле при глотании отдает в ухо, надо сразу же начинать применять антисептики. Они помогут быстро облегчить состояние и устранить патогенную микрофлору.
Для устранения дискомфорта в горле идеально подойдут полоскания с использованием растворов:
- Фурацилина;
- Хлорофиллипта спиртового;
- Ангилекса;
- Гивалекса;
- Тантум Верде.
Если же этих или аналогичных препаратов под рукой не оказалось, можно тщательно прополоскать горло солевым раствором. Для его приготовления на стакан теплой кипяченой воды берут 1 ч. л. обычной поваренной или морской соли и 1 каплю йода.
С целью устранения дискомфорта в ушах, также потребуются антисептики. Желательно, чтобы в состав препарата входил лидокаин или другое обезболивающие, которое буквально за считанные минуты устранит боль, что крайне важно, если в ухе стреляет. К числу таковых относятся:
- Отипакс;
- Анауран;
- Отинум;
- Ототон;
- Кандибиотик.
Чтобы нормализовать отток, рекомендуется использовать сосудосуживающие препараты. Их закапывают в нос, даже если насморк отсутствует. К числу таких лекарственных средств принадлежат:
- Эвказолин;
- Назик;
- Нокспрей;
- Риназолин;
- Галазолин;
- Ксило-Мефа.
Ни в коем случае нельзя самостоятельно греть ухо. Подобные манипуляции при гнойном отите ускорят процесс выработки гноя и его распространения в окружающие ткани. А, как известно, мозг находится в непосредственной близости от ушных структур.
Если наблюдается повышенная температура тела, не следует сбивать ее сразу же. Принимать жаропонижающие препараты рекомендуется только, когда показатели термометра превышают отметку 38,5°С. В подобных ситуациях можно выпить:
- Панадол;
- Нурофен;
- Имет;
- Рапимиг;
- Парацетамол;
- Найз.
Также желательно отказаться от курения, тщательно вытереть пыль и уделить внимание уровню влажности в помещении. В норме она должна колебаться в пределах 50–65%.
Чтобы добиться необходимой увлажненности воздуха можно установить специальный прибор или расставить по дому широкогорлые емкости с водой.
Важно много пить. Идеально для этих целей подходят любые теплые напитки, но не горячие.
Чем лечить?
Если самолечение не дает положительных результатов в течение 3 дней и присутствует лихорадка, необходимо обязательно обратиться к врачу. В большинстве случаев отсутствие положительной динамики в состоянии больного является следствием средне-тяжелого и тяжелого протекания бактериальной инфекции.
Поэтому обычно в первую очередь после осмотра пациента, ЛОР назначает ему антибиотики широкого спектра действия для внутреннего употребления:
- макролиды (Сумамед, Эритромицин, Азитромицин, Макропен);
- пенициллины (Аугментин, Флемоксин Солютаб, Хемомицин, Оспамокс);
- цефалоспорины (Цефазолин, Цефикс, Цефалексин).
Также показано:
- продолжение использования ушных капель (Отипакс, Софрадекс, Отинум);
- употребление пребиотиков и пробиотиков (Бифи-форм, Линекс, Лактофильтрум, Лактиале, Энтерожермина);
- использование пастилок и спреев для горла с антисептическими свойствами (Септолете, Стрепсилс, Орасепт, Стопангин, Гексаспрей, Декатилен, Лизак, Лисобакт);
- щелочные ингаляции;
- промывание носа солевыми растворами при насморке и других признаках синусита;
- прием противовирусных средств (Интерферон, Ингавирин, Лавомакс, Изопринозин, Гропринозин, Оцилококцинум).
При сохранении дискомфорта в ухе даже после окончания консервативной терапии для его устранения может потребовать парацентез. Это незначительный прокол барабанной перепонки, благодаря чему гнойные массы получают возможность выйти наружу. В результате давление спадает, и неприятные ощущения проходят.
При хронических заболеваниях и тяжелом протекании острых воспалительных процессов больным часто назначают физиотерапию. Наибольшую эффективность проявляют:
- магнитотерапия;
- терапия ультрафиолетом;
- кварцевые процедуры.
При образовании абсцесса обязательно потребуется операция. В ходе нее хирург вскроет новообразование, удалит гной и промоет полость раствором антибиотика. Если же причиной возникновения болевого синдрома послужило инфекционное заболевания, лечение его будет проводиться в условиях стационара.
[ads-pc-1][ads-mob-1]
Народные методы
Если человек жалуется на то, что болит ухо, когда глотаю, в качестве дополнения к основной терапии он может прибегнуть к помощи народной медицины. К числу наиболее эффективных средств принадлежат следующие:
1
Отвар шиповника, липы и ромашки. Содержащиеся в этих лекарственных растениях полезные вещества обладают противовоспалительными свойствами и способствуют очищению организма от вредных веществ, которые неизбежно продуцируются при наличии воспалительного процесса. Кроме того, шиповник насыщен витамином С, содержание которого во много раз превышает его количество в лимоне.
2
Прополис и фенхель. Эти вещества отличаются обезболивающим, антибактериальным действием и успокаивающе влияет на раздраженные слизистые. Поэтому их применяют для приготовления настоев для полоскания горла.
3
Теплое молоко или чай с медом. Это проверенное веками средство помогает снять незначительное воспаление, унять боль и ускорить наступление выздоровления. Оно эффективно при першении и кашле любой природы.
4
Настойка прополиса. Для устранения неприятных ощущений в ухе можно делать компрессы. Для приготовления средства необходимо в 100 мл водки уложить 15 г прополиса и поставить емкость в такое место, куда не попадают солнечные лучи, на 10 дней.
Ежедневно жидкость необходимо взбалтывать. Как только истечет положенное время нужно 10 мл готовой настойки перемешать с 40 г подсолнечного масла, смочить в нем ватный диск и вставить в слуховой проход. Процедуры повторяют 5–12 дней.
5
Черная редька с медом. Это народное средство прекрасно подходит для смазывания миндалин. Для его приготовления надо из корнеплода отжать сок и смешать его в равных пропорциях с медом. Гланды смазывают на протяжении двух недель ежедневно.
6
Отвар лаврового листа. Он обладает противовоспалительными свойствами и помогает при отите. В сотейник следует положить сушеный лист, залить кружкой воды и закипятить.Кастрюльку обматывают одеялом и настаивают в теплом месте 3 часа. Готовое средство закапывают в ухо по 10 кап. и принимают настой внутрь по 3 ст. л. трижды в сутки.
Таким образом, задаваясь вопросом, может ли болеть ухо от горла, однозначно можно сказать, что да. Но подобный симптом способен сопровождать много различных заболеваний, среди которых присутствуют и опасные для жизни.
Поэтому при длительном сохранении признаков патологии, несмотря на проводимое самолечение, рекомендуем обращаться к отоларингологу, это поможет избежать развития осложнений.
Источник




