В некоторых случаях, пациент ощущает боль в пояснице только или в основном с правой стороны. Понимание возможных причин боли в пояснице справа, так же, как и ее типичных особенностей, может помочь в постановке точного диагноза и, как следствие, назначении наиболее эффективного лечения.
Основные причины боли в пояснице справа
Боль в пояснице справа, как правило, вызывается следующими причинами:
- повреждение мышц, связок и/или сухожилий, окружающих и поддерживающих позвоночник (одним словом — мягких тканей);
- проблемы с позвоночными структурами, например, дугоотростчатыми суставами или межпозвонковыми дисками;
- состояния или заболевания, затрагивающие внутренние органы средней части спины, абдоминальной и тазовой областей.
Рекомендуется обратиться к врачу, если боль в пояснице справа не проходит или усугубляется через несколько дней после ее начала, если боль появляется внезапно и сильно выражена, а также если она сопровождается тревожными симптомами.
В большинстве случаев, боль в пояснице является результатом незначительных повреждений мышц и/или связок поясницы, и наше тело обычно обладает достаточными ресурсами для того, чтобы самостоятельно справиться с такого рода повреждениями. Если боль не утихает в течение трех дней, то необходимо обратиться к врачу.
Боль в пояснице справа обычно вызвана повреждением или травмированием позвоночных структур, например, мышц нижней правой части спины, межпозвонковых дисков поясничного отдела позвоночника или дугоотростчатых суставов. Хотя многие проблемы с данными структурами скорее вызовут боль по центру спины, вполне вероятен и вариант, когда боль будет ощущаться в основном или полностью с одной стороны поясницы.
Боль в пояснице справа и растяжение мышц
Растяжение мышц — самая распространенная причина боли в пояснице и может вызвать боль, ощущаемую в основном с правой стороны.
Типичные симптомы растяжения мышц включают:
- ограничение подвижности (такие движения как наклон вперед или поворот в сторону могут быть болезненными или невыполнимыми);
- болезненность и/или опухание в пояснице справа;
- спазм мышц поясницы;
- боль, которая уменьшается при отдыхе, например, при сидении с приподнятыми ногами и слегка согнутыми коленями с поддержкой — например, в кресле с откидной спинкой, в кровати с правильно подложенными подушками;
- боль, которая стихает при использовании холодных и горячих компрессов;
- боль, которая хотя бы отчасти реагирует на безрецептурные обезболивающие
- боль, которая усиливается при подъеме с кровати или из положения сидя.
В большинстве случаев, растяжение мышц является результатом относительно незначительных повреждений, например, резкого поворота при поднятии тяжелой сумки с продуктами. Растяжение мышц также может быть следствием спортивной травмы или автомобильной аварии.
Чаще всего боль при растяжении мышц утихает через несколько дней и не требует внимания со стороны врачей.
Проблемы с позвоночником
Причиной боли в поясничном отделе позвоночника могут стать любые проблемы с позвоночными структурами, например, дугоотростчатыми суставами, межпозвонковыми дисками в любом двигательном сегменте или нервными корешками, которые выходят из позвоночника в каждом его сегменте с правой стороны.
К распространенным проблемам с позвоночником, которые могут вызвать боль в пояснице справа, относятся:
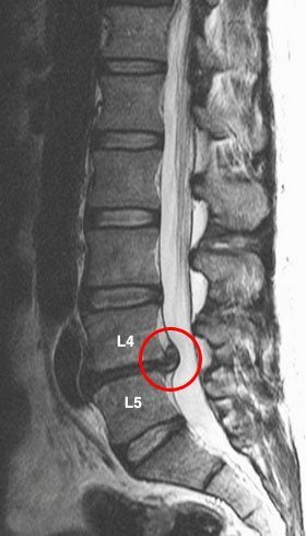
Грыжа в поясничном отделе позвоночника
Межпозвонковый диск, расположенный между смежными позвонками, может выпячиваться с правой стороны позвоночника. Межпозвонковая грыжа может вызывать тупую, ноющую боль в пояснице вследствие защемления спинно-мозгового корешка в узком фораминальном отверстии. Боль в пояснице справа может сочетаться с болью в ягодице и правой ноге до стопы.
Проблемы с т суставами (спондилоартроз)
Скованность, дискомфорт и болезненность в определенных областях в нижней правой части спины являются вероятными симптомами артроза дугоотростчатых суставов позвоночника. В некоторых случаях, нервы на правой стороне позвоночника защемляются костным разрастанием на суставе, что может привести к боли в пояснице справа и местной болезненности;
Стеноз позвоночного канала
Просвет позвоночного канала может сужаться из-за межпозвонковой грыжи, костных разрастаний и других проблем, приводя к боли в пояснице справа, а также к корешковой боли и/или слабости в правой ягодице и ноге;
Дисфункция крестцово-подвздошного сочленения
Крестцово-подвздошное сочленение соединяет кости таза с основание позвоночника. Если крестцово-подвздошное сочленение слишком много или, наоборот, слишком мало двигается, боль может ощущаться в пояснице с правой стороны и/или в правом бедре;
Болезнь Бехтерева
Это воспалительное заболевание может зарождаться в нижней части крестцово-подвздошного сочленения, а ранними симптомами болезни могут стать правосторонняя боль в пояснице и/или боль в правом бедре. В отдаленной перспективе болезнь Бехтерева может привести к сращению дугоотростчатых суставов и позвонков, что ограничит подвижность позвоночника.
Лечение проблем с позвоночником разнится в зависимости от состояния и выраженности симптомов пациента. Мы считаем наиболее эффективным комплексный подход к лечению остеохондроза и его осложнений. Так, наибольшим клиническим эффектом обладает безнагрузочное вытяжение позвоночника, с помощью которого можно увеличить расстояния между позвонками, снизить боль и улучшить питание всех межпозвонковых дисков. Специальная гимнастика, различные методики массажа, гирудотерапия в комплексе с вытяжением позвоночника дают очень хорошие результаты лечения.
Менее распространенные причины боли в пояснице справа
Некоторые проблемы с позвоночником и болезненные состояния с потенциально серьезными последствиями также могут вызывать боль в пояснице справа. Такие состояния включают:
Дегенеративный спондилолистез
Дегенеративным спондилолистезом называют состояние, при котором вследствие возрастных изменений позвоночника верхний позвонок смещается вперед по отношению к нижнему. Это состояние может создать дополнительную нагрузку на мышцы спины, а также сдавить нервные корешки, что приведет к боли в пояснице справа, а также, как правило, к боли по ходу седалищного нерва — через ягодицу и/или бедро в правую ногу;
Хронические болевые синдромы
Фибромиалгия и миофасциальный болевой синдром являются хроническими болезненными состояниями, которые могут вызывать скелетно-мышечную боль по всему телу, а также боль, сконцентрированную в пояснице с правой стороны. Другие симптомы включают болезненность в конкретных областях (триггерных точках) и хроническую усталость;
Опухоль в позвоночнике
Раковые опухоли редко развиваются непосредственно в позвоночнике, в большинстве случаев, они распространяются на позвоночник из других частей тела. Если опухоль давит на правую сторону позвоночника или сдавливает нервный корешок справа, результатом может стать правосторонняя боль в пояснице.
Некоторые состояния диагностировать сложнее, чем другие. Если у пациента имеются хронические симптомы, появляющиеся периодически или прогрессивно усугубляющиеся, можно попытаться составить подробное письменное описание того, когда возникают симптомы и насколько они бывают выраженными. Это может помочь врачу быстрее поставить правильный диагноз и начать соответствующее ему лечение.
Боль в пояснице справа, вызванная проблемами внутренних органов
Существует множество проблем с внутренними органами, расположенными в средней части спины, абдоминальной и тазовой области, которые потенциально могут вызвать правостороннюю боль в пояснице. Боль может стать следствием воспаления или раздражения внутренних органов, а также быть признаком инфекции. При подобных состояниях, как правило, кроме боли в пояснице с правой стороны, присутствуют и другие симптомы, которые могут существенно сократить область поисков на этапе постановки диагноза.
Ниже приведено несколько распространенных причин боли в пояснице справа:
Проблемы с почками
Симптомы при камнях в почках и инфекции почек могут быть очень похожими. Оба состояния могут стать причиной боли в спине с одной стороны, а также боли при мочеиспускании и тошноты и/или рвоты. Затруднение мочеиспускания обычно появляется тогда, когда камень движется внутри почки, попадает в мочеточники и далее в мочевой пузырь и мочевыводящие пути. При этом пациент может заметить кровь в своей моче. Инфекция правой почки вызывает повышение температуры, местное воспаление и болезненность в пояснице справа, в том месте, где расположена почка;
Язвенный колит
Это воспалительное заболевание кишечника характеризуется постоянным воспалением толстой кишки. Частые спазмы в животе при язвенном колите могут вызывать правостороннюю боль в пояснице. Другие симптомы включают хронические проблемы с пищеварением, такие как диарея, боль в ректальной области, потерю веса и общую слабость;
Аппендицит
Аппендикс расположен в нижней правой части живота. Если аппендикс воспаляется, начинает протекать или разрывается, это может вызывать симптомы, включающие боль в пояснице с правой стороны. Вообще симптомы аппендицита варьируются и включают внезапную боль в правой нижней части живота, которая может сопровождаться дополнительными симптомами, такими как высокая температура, тошнота и рвота и/или боль в пояснице справа;
Гинекологические проблемы
Проблемы с различными репродуктивными органами у женщин, расположенными в тазовой области, могут привести к боли в пояснице справа. Например, эндометриоз — это распространенное заболевание, которое может вызвать спорадическую острую боль в тазовой области, иррадиирующую в поясницу с правой стороны. Фиброматоз или появление разрастаний ткани в матке или вокруг нее, может вызывать правостороннюю боль в пояснице наряду с аномальной менструацией, учащением мочеиспусканием и болью при занятии сексом;
Беременность
Боль в пояснице справа и вообще боль в пояснице часто появляется во время беременности и связана с развитием плода. Многие женщины в такой ситуации находят полезными такие методы как отдых, гимнастика и комплементарная терапия.
Воспаление желчного пузыря
Воспаление или дисфункция желчного пузыря, как правило, сопровождается сильным расстройством пищеварения, особенно после еды. Дисфункция желчного пузыря обычно становится причиной боли в верхней правой части живота и в правой части спины;
Проблемы с печенью
Боль, связанная с проблемами с печенью, может быть следствием воспаления (гепатит), абсцесса, рубцевания (цирроз), а также увеличения и отказом печени. Симптомы проблем с печенью включают боль в верхней правой части живота и/или в спине, усталость, тошноту или отсутствие аппетита, желтуху. Проблемы с печенью достаточно редки у людей, не находящихся в группе риска их развития.
Если существует подозрение, что вышеописанные состояния могут быть причиной правосторонней боли в пояснице, рекомендуется быстро обратиться за медицинской помощью.
Очевидно, что существует большое количество заболеваний и состояний внутренних органов, которые также могут привести к правосторонней боли в пояснице, поэтому важно очень четко описывать свои симптомы на приеме у врача, чтобы он смог быстро поставить правильный диагноз и составить эффективный план лечения.
Боль в пояснице справа и экстренные состояния
В некоторых случаях, боль в пояснице справа может быть признаком серьезного состояния, которое нуждается в быстрой и квалифицированной помощи. К примеру, боль в пояснице справа часто бывает симптомом следующих состояний:
Аппендицит
Это состояние появляется тогда, когда аппендикс, расположенный в нижней правой части живота, воспаляется и/или разрывается. Это может вызвать резкую, сильную боль в пояснице справа и/или боль в правой нижней части живота. Симптомы варьируются и могут включать тошноту, рвоту или высокую температуру. Симптомы могут появиться внезапно или развиваться постепенно;
Синдром конского хвоста
Одно из самых тяжелых осложнений грыжи диска поясничного отдела позвоночника. Возникает при больших размерах межпозвонковой грыжи или при грыже среднего размера на фоне узкого позвоночного канала. Симптомы могут начаться внезапно или развиваться постепенно, но в конечном итоге происходит стойкое нарушение функции тазовых органов и /или нарушения функции нижних конечностей, наиболее часто парез стопы. Состояние требует немедленной, в основном, хирургической помощи в течение ограниченного времени. Синдром конского хвоста может быть вызван и другими причинами, например, наличием опухоли в просвете позвоночного канала, туберкулезом позвоночника и так далее.
Аневризма брюшной аорты
Аневризма брюшной аорты проявляется в ее увеличении или разрыве. Симптомы обычно включают очень сильную, внезапную боль в животе или пояснице, а также симптомы, связанные с низким давлением, например, потерю сознания и/или тошноту;
Остеомиелит
Остеомиелит — это инфекция позвоночника. Как правило, оно проявляется в сильной боли в спине наряду с высокой температурой. Другие симптомы могут включать необъяснимую потерю веса, а также воспаление, покраснение или болезненность мягких тканей рядом с позвоночником.
Пациентам нужно самим понимать, когда необходимо обратиться за медицинской помощью. Основное правило: обратитесь к врачу, если боль в спине настолько сильная, что мешает Вам выполнять обычные действия, например, ходить, стоять или спать, а также если сильная боль в спине возникла внезапно и не уменьшается в состоянии покоя и после приема обезболивающих.
Статья добавлена в Яндекс Вебмастер 2017-11-07, 16:57.
Источник
Боли в спине справа редко возникают по естественным причинам, например, из-за мышечного перенапряжения после тяжелого рабочего дня. Значительно чаще их появление сигнализирует о развивающейся в организме патологии. Поэтому даже слабая боль в спине должна стать поводом для обращения к врачу за медицинской помощью. Своевременное консервативное, а иногда и хирургическое лечение позволит избежать развития осложнений, нередко необратимых.
Где болит
Важно знать! Врачи в шоке: «Эффективное и доступное средство от боли в суставах существует…» Читать далее…
На первом приеме врач просит пациента точно указать, где чаще всего возникают боли. Их локализация позволяет предположить причину ухудшения самочувствия. Выставить предварительный диагноз помогает и подробное описание пациентом сопутствующих симптомов, характера болей. Они бывают ноющими, тянущими, давящими, пульсирующими, жгучими, пронизывающими. Слабые боли обычно указывают на хронический воспалительный или дегенеративный процесс, сильные — на его обострение.
Между лопаток
Локализация болей между лопаток характерна для воспалительного поражения легких, особенно если она сопровождается повышением температуры, одышкой, ощущениями нехватки воздуха при вдохе, сухим непродуктивным кашлем. Они возникают и при повреждении, сдавлении спинномозговых корешков в грудном отделе позвоночника сместившимися дисками, деформированными позвонками, костными наростами (остеофитами).

Под ребрами
В этой области спины расположены многие внутренние органы, повреждение которых проявляется болями в спине справа. Они могут сигнализировать о возникших и усугубляющихся проблемах с печенью, желчным пузырем, селезенкой, поджелудочной железой. Подтверждением развивающейся патологии одного из внутренних органов становятся желудочно-кишечные расстройства, в том числе приступы тошноты и рвоты.
В боку справа
Боль в боку справа — один из основных симптомов патологий мочевыделительной системы. Они всегда сопровождают воспалительный процесс, протекающий в почках, мочеточниках, мочевом пузыре. Особенно опасно своими тяжелыми осложнениями инфекционное поражение с быстрым вовлечением здоровых тканей и органов. Много реже причиной болей в правом боку становится аппендицит.
В пояснице
Тянущая, постоянная ноющая боль в пояснице может быть спровоцирована воспалением органов малого таза. Но в подавляющем большинстве случаев она указывает на деструктивно-дегенеративные изменения в межпозвонковых дисках и позвонках. Острая боль в поясничном отделе характерна для воспаления нервного корешка или его сдавления, травмирования сформировавшейся межпозвоночной грыжей.
Возможные причины болевых ощущений
Спровоцировать боли в спине справа могут различные патологии, диагностировать которые самостоятельно человек не способен. Подобным симптомом проявляются практически все заболевания позвоночника. Но утверждать, что именно повреждения дисков и позвонков стали причиной ухудшения самочувствия, нельзя. Вдоль позвоночника расположены спинномозговые корешки, иннервирующие не только его структуры, но и внутренние органы. Если в почках или печени протекает патологический процесс, то боль от них распространяется по нервным волокнам, ощущается именно в спине. Такую боль называют «отраженной», иррадиирущей.
Бытовые причины
Дискомфорт в спине справа может быть обусловлена растяжением мышц в результате чрезмерно интенсивных движений или после длительного нахождения в одном положении тела, подъема тяжестей. Болезненность вполне естественна после падений, ушибов, ударов. Она нередко становится постоянным спутником человека, у которого ранее были выявлены компрессионные переломы позвоночника, подвывихи позвонков, сдавление спинного мозга. В таких случаях боли относительно слабые, обычно возникающие при резкой смене погоды, повышенных нагрузках на спину, переохлаждении.
Но без тщательной диагностики нельзя говорить о естественности таких ощущений. Ведь постоянный подъем и перенос тяжестей, частое нахождение в нефизиологичном положении может спровоцировать микротравмирование дисков с дальнейшим развитием тяжелой патологии позвоночника.
Заболевания позвоночника
Ведущий симптом всех патологий позвоночника — боль в спине. Ее появление справа типично для одностороннего ущемления нервного корешка. Это часто происходит при остеохондрозе шейно-грудного, грудного, поясничного, пояснично-крестцового отделов позвоночника. Особенно часто боли возникают при его уже развившихся осложнениях: протрузии, межпозвоночной грыже, дискогенной миелопатии, корешковом синдроме.
Боли с правой стороны спины могут сигнализировать и о таких заболеваниях:
- спондилоартроз — остеоартроз дугоотростчатых суставов;
- анкилозирующий спондилоартрит (болезнь Бехтерева) — хроническое системное заболевание с преимущественной локализацией в крестцово-подвздошных суставах;
- радикулит — поражение корешков спинного мозга;
- ревматизм — воспалительное инфекционно-аллергическое системное поражение соединительной ткани.
Повреждение дисков, позвонков, а особенно сдавление спинномозговых корешков редко проявляются четко локализованными болями. Они распространяются на рядом расположенные участки тела, иррадиируют в руки, ноги, бока.
«Врачи скрывают правду!»
Даже «запущенные» проблемы с суставами можно вылечить дома! Просто не забывайте раз в день мазать этим…
>
Патологии органов пищеварения
Причиной болезненности поясничного и грудного отдела позвоночника нередко являются патологии органов пищеварительной системы. Они характерны для холецистита, панкреатита, воспалительных заболеваний кишечника, в том числе аутоиммунного характера. По мере усиления воспалительного процесса повышается и выраженность болей. Они становятся острыми, опоясывающими, не стихают даже после продолжительного отдыха.
Если боль жгучая, пульсирующая, режущая, то высок риск аппендицита, особенно при нетипичном (ретроцекальном) положении аппендикса.
Сердечно-сосудистые болезни
Боли с правой стороны спины при патологиях сердечно-сосудистой системы не типичны. Но в ряде случаев возможна и такая их локализация. Пациенты с грудным остеохондрозом нередко страдают от иррадиирущих болей в сердце. Но очень важно дифференцировать их от симптомов стенокардии или инфаркта миокарда — заболеваний, угрожающих не только здоровью, но и жизни человека. Интенсивность сердечных болей ослабевает при приеме Нитроглицерина.
Болезни почек
Это довольно частая причина поясничных давящих или пронизывающих болей, обусловленная общностью иннервации позвоночных структур и органов мочевыделения. Дискомфортные ощущения в спине сопутствуют поликистозу, гидронефрозу, онкологическим заболеваниям, которые приводят к увеличению одной или двух почек в размерах.
| Патологии почек, проявляющиеся болями в спине справа | Характерные особенности |
| Пиелонефрит | Ведущий симптом этой неспецифической инфекционной патологии почек — тупые боли в поясничной области различной интенсивности, чаще односторонние, сопровождающиеся повышением температуры |
| Гломерулонефрит | Это иммунновоспалительное поражение почек проявляется болями в поясничной области, гипертермией, ознобом, общей слабостью, тошнотой, снижением аппетита |
| Мочекаменная болезнь | При отхождении камня, особенно крупного, возникает сильная боль в поясничной области, не зависящая от положения тела. Если конкремент расположен в нижних отделах мочеточников, то боли иррадиируют в пах, бедра, ягодицы |
Беременность
Примерно с 16 недели беременности матка начинает увеличиваться в размерах. Она давит на правосторонние чувствительные нервные окончания, что и становится причиной «отраженных» болей в нижней части спины. Они обычно исчезают после непродолжительного отдыха в положении лежа.
С 30 недели вынашивания ребенка центр тяжести значительно смещается из-за увеличения живота. Чтобы не сутулиться при ходьбе, женщине приходится напрягать мышцы всей спины. Спустя несколько часов возникают ноющие, тупые боли. Так организм сигнализирует о необходимости отдыха.
На поздних сроках беременности причиной болезненности становится выработка релаксина, обеспечивающего повышенную эластичность связочно-сухожильного аппарата для подготовки родовых путей. Поскольку этот гормон действует неизбирательно, он влияет на все связки, что и вызывает боли в пояснице и крестцовом отделе.
Гинекологические причины
Тянущие, ноющие боли в поясничном отделе позвоночника нередко указывают на правостороннее развитие воспалительного процесса в одном из органов репродуктивной системы. Они сопровождают внематочную беременность, формирование кисты яичника, миому матки. Постепенно усиливающаяся болезненность характерна для опухолей половых органов, угрозе выкидыша при беременности. При жалобах женщины на дискомфорт в пояснице всегда проводится дифференциальная диагностика для исключения гинекологических патологий.
Поражения органов дыхания
Одышка, боли в средней части спины, ощущение першения и «кома» в горле, непродуктивный кашель могут быть признаками, как грудного остеохондроза, так и патологий дыхательной системы. К последним относятся:
- сухой плеврит — реактивное воспаление плевры, для которого характерны боли в грудной клетке, усиливающиеся при дыхании, распространяющиеся на правую сторону спины;
- пневмоторакс — скопление газа в плевральной полости, ведущее к сдавлению кровеносных сосудов средостения, расстройству функций дыхания и кровообращения, появлению пронзительной колющей боли на стороне пораженного легкого;
- пневмония — острое поражение легких инфекционно-воспалительного характера, одним из симптомов которого становится иррадиирущая боль в грудной клетке.
Постоянно повышающаяся болезненность с правой стороны спины сопровождает укрупнение опухоли в легком, в том числе злокачественной.
В каких случаях нужно срочно обратиться за помощью
Не только острая боль должна стать сигналом для обращения к врачу. Большую опасность представляет слабая болезненность, сохраняющаяся в течение нескольких дней, не исчезающая даже после продолжительного отдыха. Она является защитной реакцией организма на воспалительное или дегенеративное поражение внутренних органов, позвоночного столба.
К врачу следует незамедлительно обратиться при выраженной сопутствующей симптоматике — повышении температуры, скачках артериального давления, зрительных и слуховых расстройствах, головокружениях, тошноте, рвоте.

Что делать, если болит спина справа
Если прием у врача назначен только на следующий день, а боль не ослабевает, то можно принять таблетку любого нестероидного противовоспалительного средства (НПВС). Это Кеторол, Найз, Нурофен, Кетопрофен, Диклофенак. При слабых дискомфортных ощущениях достаточно нанесения местных НПВС — гелей Вольтарен, Фастум, Артрозилен. Категорически запрещено использовать холодовые компрессы или прогревания до установлений причины болезненности спины справа. Это может привести к усилению воспаления или стойкому мышечному спазму.

Похожие статьи
Как забыть о болях в суставах?
- Боли в суставах ограничивают Ваши движения и полноценную жизнь…
- Вас беспокоит дискомфорт, хруст и систематические боли…
- Возможно, Вы перепробовали кучу лекарств, кремов и мазей…
- Но судя по тому, что Вы читаете эти строки — не сильно они Вам помогли…
Но ортопед Валентин Дикуль утверждает, что действительно эффективное средство от боли в суставах существует! Читать далее >>>
загрузка…
Источник




