Правая ключица – это одна из парных костей. Она является частью пояса верхних конечностей, образует в нем соединение между правой лопаткой и грудиной. Боль в ключице справа может возникать из-за травм, патологий костей и позвоночника, мышечной и суставной тканей, нервов, внутренних органов. Симптом дополняется другими признаками, проявления боли в ключице справа носит разный характер.
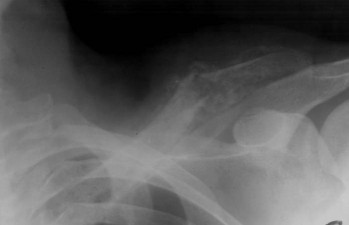
1. Перелом правой ключицы
Причины боли в ключице справа или слева могут связаны переломом кости. Понять, что он произошел помогают признаки:
- возникают сильные, резкие, интенсивные, острые боли в правом плече и в области ключицы, они сохраняются в спокойном положении, становятся ярче при любом движении;
- возникает боль в ключице при вдохе;
- немного облегчить боль в ключице можно, если прижать правую руку к телу и удерживать её левой;
- в области травмы появляется заметный отек, кожные покровы краснеют, становятся горячими на ощупь;
- в некоторых случаях видно, что с костью ключицы справа произошла деформация, её участок стал заметно выпирать над кожей.
© shutterstock
Больного требуется доставить в больницу. Смягчить проявления боли можно при помощи болеутоляющих средств (используют Анальгин, Пенталгин). После осмотра хирургом или травматологом назначается рентгенографическое исследование. После изучения его результатов врач соединяет обломки кости правой ключицы, вправляет их и фиксирует в необходимом положении через мягкие ткани. Затем он накладывает гипс или фиксирующую повязку. Если имеются сильные повреждения кожи, мышц, костей, необходима хирургическая операция для их восстановления.
2. Воспаление мышц (миозит)
Боль в области ключицы справа, всей плечевой области характерна для развития воспалительного процесса в мышцах этого участка тела. Заболевание носит название миозит, возникает по причинам:
- как осложнение после инфекционных заболеваний;
- после сильного переохлаждения;
- в следствии отравления токсическими веществами или продуктами деятельности паразитов;
- травм;
- сильного мышечного напряжения, которое может возникнуть из-за стресса.
© shutterstock
Миозит может развиваться в острой или хронической форме. В первом случае, симптомы будут иметь яркое проявление. Человек ощущает, что справа боль в районе ключицы возникает при любом движении руки, имеет ноющий характер, ощущается в мышцах предплечья. Повышается температура тела, болит голова, кожа плеча становится припухлой и очень чувствительной, мышцы остаются напряженными.
Подтверждают диагноз осмотр врача, пальпация мышц, проводится электромиография, рентген. Необходим анализ крови для подтверждения воспаления. Лечение носит индивидуальный характер. Больному выписывают лекарственные препараты, назначают курсы массажа, для восстановления используют физиотерапию. При гнойной форме болезни необходимо хирургическое лечение.
3. Остеохондроз шейно-плечевого сплетения
Симптом, когда справа болит ключица постоянно, постепенно нарастая, характерен для остеохондроза шейно-плечевого сплетения. Болезненное ощущение усиливается при движениях плечом или поворотах шеи. Боль при развитии болезни наблюдается в правой стороне спины, плече, шее, руке, в суставе. Движения становятся ограниченными, при их выполнении суставы начинают заметно хрустеть. Появляется сильная утомляемость.
© shutterstock
Вызвать остеохондроз в шейно-плечевом сплетении могут наличие инфекции в организме, нарушение обменных процессов, усиление нагрузки на суставы и позвоночник, последствия травм и неправильная осанка, недостаточная физическая активность, лишний вес. Стрессы и возраст являются благоприятными факторами для развития патологии. Установить диагноз помогают рентгенография и МРТ. Используется консервативный метод лечения и хирургический.
4. Артрит плечевого сустава
Инфекции, переохлаждения, травмы, заболевания нервной системы или аутоиммунного характера, аллергии, сниженный иммунитет, наследственность, повышение нагрузки на плечевой сустав могут быть предпосылками развитие артрита. В зависимости от степени заболевания, его признаки имеют разный характер проявлений. Сначала может немного ныть плечо, боль под ключицей справа ощущается только при усилении физической нагрузки, затем она принимает постоянный характер. Если поднять руку вверх, происходит щелчок. Плечо начинает деформироваться, наблюдается дегенерация его тканей.
© shutterstock
Диагноз подтверждается по результатам анализа крови на биохимию, УЗИ сустава, МРТ. Медикаментозное лечение направлено на устранение симптомов. Назначаются противовоспалительные и обезболивающие препараты, местные разогревающие средства. Используется электрофорез, волновая или магнитная терапия, больному необходимо делать лечебную гимнастику. В сложных случаях необходима операция.
5. Невралгия в плечевом суставе
Сильно болеть плечо в области ключицы справа может из-за невралгии плечевого нерва. Травмы, воспалительные процессы и инфекции, сильная нагрузка на мышцы, переохлаждения, нарушение баланса гормонов и обмена веществ, остеохондроз шейного отдела позвоночника могут вызывать патологию.
© shutterstock
Сначала у человека возникает ощущение, что вверху плечевого сустава возникает непродолжительное подергивание непроизвольного характера. Затем появляется отечность в мышцах, она провоцирует сдавливание нервных окончаний – возникает боль в районе ключицы справа. Затем симптомы усиливаются, происходит онемение мышц, конечности становятся слабыми. Врач назначает пациенту диагностику – необходимы результаты анализов мочи и крови (биохимия и общий), рентгена, КТ.
Лечить невралгию плечевого сустава нужно комплексно. Используются препараты для купирования воспаления и обезболивания, терапия основного заболевания, восстановительные процедуры.
Другие причины боли в правой ключице
Дискомфорт в области правой ключицы и боль человек может заметить при развитии других патологий или после травм плеча в правой стороне. Симптом может сопровождать:
- вывих правой ключицы;
- смещение плечевого сустава;
- нарушения осанки;
- сдавливание корешков нервов в шейном отделе позвоночника;
- остеомиелит;
- радикулопатию;
- периартрит (плечелопаточный);
- болезни внутренних органов – желудка, поджелудочной железы, печени, желчного пузыря;
- заболевания лёгких – пневмония, плеврит;
- стенокардию, инфаркт миокарда;
- образование метастаз в близкорасположенных к правой ключице лимфоузлах (надключичным и подключичным).
© shutterstock
К какому врачу нужно записаться на прием
Самостоятельно определить, почему болит правая ключица очень трудно. Диагностикой причины боли в этой области и назначением лечения должен заниматься врач. Обратиться можно к специалисту, работающему по профилю:
- травматология;
- хирургия;
- ортопедия;
- неврология;
- терапия;
- гастроэнтерология;
- кардиология;
- онкология.
Почему боль в правой ключице нельзя игнорировать
Болезненность в правой ключице сопровождает опасные патологии. Терпеть боль нельзя. В любом случае появления симптома, когда проявления имеют характер острый или хронический, постоянный или периодический, требуется медицинское обследование. В зависимости от подтверждённого диагноза пациенту назначается лечение. Оно направлено на купирование основного заболевания, вызвавшего боль в ключице справа. Методы терапии могут быть разными – медикаментозные или хирургические. Пациенту назначается физиотерапия, используется лечебная гимнастика и курсы массажа.
Источник
Появление болей под левой или правой ключицей спереди может быть связано с некоторыми заболеваниями. Особенно опасны состояния, при которых симптом сохраняется надолго или появляется часто. Заподозрить патологию можно по сопутствующим признакам, наличие которых в 100% случаев дает понять, что с организмом что-то не так.
Патологические симптомы при болях в ключице
Узнать точно причину боли в ключице можно после обследования
Если кость заболела после нагрузок, но другие признаки отсутствуют, это, скорее всего, не патологическая причина, симптом пройдет самостоятельно в течение нескольких часов. Если же боль появляется регулярно и сопровождается дополнительными ощущениями, пора посетить врача:
- наблюдается покалывание или жжение в области ключицы;
- кожа в зоне болей онемела;
- появилось покраснение или припухлость;
- ключица изменила положение, стала выпирать или, наоборот, кажется вдавленной.
Если в процесс вовлекаются глубокие элементы организма – нервы, – боль в ключице может быть переходящей в шею, спину, под лопатки и даже в уши. При патологических процессах в костных структурах в 99% случаев выявляется сразу несколько симптомов.
Распространенные причины болей
Заболеваний ключицы так же много, как и других патологий, способных влиять на целостность этого элемента. Они могут быть разрушительными, инфекционными и воспалительными.
Шейно-плечевой остеохондроз
Причиной боли в ключице может быть ущемление нерва при остеохондрозе
Наиболее распространенная причина, по которой болит ключица слева или справа, а иногда с обеих сторон. Боль в этом случае будет усиливаться при движениях шеей и плечами, со временем появится в шее, руках, спине, лопатках. По мере развития болезни симптомы усиливаются, появляется хруст суставов и сильная утомляемость. Вызывают патологию низкая двигательная активность, травмы, неправильная осанка, лишний вес, сильные нагрузки на суставы и позвоночник, а также инфекции и сбои в обмене веществ.
Поражения плечевой области
Отдавать в ключицу может боль, вызванная патологиями плечевого сустава. Чаще всего при симптоме обнаруживают воспаление суставной сумки. Симптомы могут проявляться при таких заболеваниях:
- межпозвоночная грыжа – тянущая боль вдоль руки, потеря чувствительности, онемение;
- патологии манжетки – боль тянущая, преимущественно спереди;
- воспаления сухожилий – могут быть вызваны физическими нагрузками;
- ущемление нервов из-за травм – трудности с дыханием, ограничение движений и интенсивная боль.
Спровоцировать боль могут невриты и невралгии, при которых происходит воспаление, а на мышцы приходится сильная нагрузка. То же самое характерно для нарушения гормонального баланса. Среди симптомов невралгии: онемение мышц, слабость в конечностях.
Переломы ключицы
Симптомы перелома сложно спутать с чем-то другим, ведь появляются они преимущественно после травм, о которых пациент помнит: удары, толчки, падения на выпрямленные руки или локти. Боль при переломах очень сильная, отечная, появляются синяки, кость может сменить привычное положение.
Вывихи и смещения
Вывих плечевого конца ключицы сопровождается острой болью
Грудинный конец ключицы, которым она крепится к клетке, может произойти из-за травм и падений, а также после ударов. Встречается патология редко и сопровождается такими симптомами:
- сильным отеком;
- выпячиванием ключицы или западанием;
- болью и покраснением.
Другой конец, акромиальный, имеет несколько связок, которыми крепится к лопаткам. Если они рвутся, пациент испытывает острую боль, возможность повернуть плечом резко ограничивается.
Артрит и артроз плеча
При артрите развивается воспаление, которое провоцирует острую боль в области ключицы. Это заболевание может развиться в любом возрасте, так как оно связано с инфекциями, травмами, аутоиммунными процессами. При артрозе происходит разрушение суставов. Боль очень сильная, ноющая, появляется хруст в плече или ключице.
Радикулопатия
Боль может отдавать в ключицы после усиленных спортивных тренировок
Эту патологию провоцируют такие факторы, как стресс, частое ношение тяжестей, переохлаждения, старые ушибы и инфекции. Происходит сдавливание нервных корешков, что может привести к развитию грыжи или остеохондроза. Больной ощущает слабость мышц, жжение, покалывание и мурашки. Кожа может сменить окрас.
Миозиты
Миозиты – это заболевания, связанные с воспалением мышечных тканей рядом с ключицами. Боль при воспалении очень сильная, обездвиживающая. Диагностировать миозит сложно, так как его легко спутать с другой патологией. Спровоцировать миозит могут самые разные факторы – от хронических болезней до нарушений обмена веществ.
Синдром торакального выхода
Смещение ключицы вызывает боль из-за повреждения нервов и плохого кровообращения
СТВ сопровождается смещением ключицы с правильной позиции. Это приводит к повреждению нервов и сосудов. Провоцируют патологию такие факторы:
- ожирение и слабые мышцы;
- постоянные подъемы и растяжения;
- врожденная нетрудоспособность;
- плохая осанка;
- частые травмы.
Синдром торакального выхода сопровождается слабостью в руке, болью в шее, плечах и ключице, появлением шишек под костной системой. Для терапии требуются физиотерапевтические методы.
Повреждения акромиально-ключичного сустава
Этот структурный элемент находится в области лопатки и ключицы, где они пересекаются. Появляется травма преимущественно после удара или падения. Вызывает сильную боль, отечность, повышенную чувствительность области, выступы и смещения кости. Избавиться от травмы можно оперативным путем или с помощью плечевой скобы для стабилизации.
Остеолиз дистального конца
Патология связана с мелкими переломами на конце ключицы, который соединяется с плечом. Если переломы постоянно случаются и не заживают, состояние пациента ухудшается, появляются сильнее отеки, дискомфорт, ограничения движения. Человеку сложно поднять руки выше головы. Для терапии применяют лекарственные средства, противоотечные препараты и физиотерапевтические методики. В тяжелых случаях может потребоваться операция и стероидные инъекции.
Остеомиелит
Бактериальное поражение костей ключицы может привести к ее перелому
Воспалительная патология, связанная с поражением костей. Встречается очень редко, сопровождается такими симптомами:
- нагноение из-под кожи;
- повышение температуры;
- горячая пораженная зона;
- тошнота и лихорадка;
- сильная чувствительность кожи в зоне поражения;
- отечность.
Остеомиелит провоцируют бактерии, пневмония, сепсис, а также инфекции, попавшие в организм при пробивании сломанной ключицей кожи. Спровоцировать патологию могут и другие инфекции, расположенные рядом с ключицей. Терапия остеомиелита проводится в больнице после госпитализации больного. Для устранения болезни требуется прием антибиотиков, а также удаление гноя из области поражения. В течение нескольких недель или месяцев после выписки пациента ждет реабилитация и длительный прием таблеток.
Раковые поражения
Рак ключицы встречается крайне редко, но исключать его нельзя. В зону риска могут попасть пациенты, которых обнаружены опухоли в других органах. Нейробластома – разновидность рака, который поражает кости и лимфоузлы. Сопровождается высоким давлением, потливостью, лихорадкой, частым сердцебиением, диареей.
Другие причины болезненных ощущений
Возрастные дегенеративные процессы костной ткани ключицы причиняют боль в суставе
Спровоцировать боль могут болезни, никак не связанные с костью или суставами рядом с ключицей. Часто в эту зону отдают боли от поджелудочной железы, стенокардии, инфаркта и патологий печени, желчного пузыря. Симптом иногда никак не связан с патологиями:
- возрастные изменения, износ хрящей и суставов;
- недостаток питательных веществ;
- неправильное положение тела во время сна;
- длительный сон на одном боку.
Справиться с этими состояниями можно профилактическими мерами. В пожилом возрасте следует изменить рацион и добавить больше витаминов после консультации с врачом.
Среди причин, вызывающих боль в ключице, самые распространенные – травмы, воспаления суставов, костей и мягких тканей рядом с элементом. Однако для точной постановки диагноза необходимо полноценное инструментальное обследование в медицинском учреждении.
Диагностика болей в ключице
Самое четкое изображение можно получить при КТ плечевого сустава
Чтобы понять, почему возникла болезненность, нужно обратиться к врачу-ортопеду. Он назначит подходящие анализы и диагностику, которая обычно состоит из следующих процедур:
- рентген плечевого сустава и ключицы – показывает состояние костей, помогает выявить травмы, остеомиелит и артриты;
- КТ и МРТ – тонный и информативный способ диагностики, показывающий состояние не только костей, но и структур рядом с ними;
- артроскопия – устаревший эндоскопический метод, который используется очень редко, но дает точные результаты путем исследования внутренней части сустава;
- УЗИ – доступная процедура, которая показывает состояние суставной сумки.
Иногда пациентам требуется пункция суставной полости, используемая преимущественно при инфекционных поражениях. С помощью пункции удается установить тип возбудителя.
Не всегда болезненность становится следствием патологий сустава, мышц или кости. Если есть подозрения на заболевания органов, потребуется диагностика других специалистов, чаще всего – уролога.
Чем снять боль в ключице
Витамино-минеральные препараты можно принимать для профилактики заболеваний костной ткани
Боли в области ключицы нельзя постоянно снимать лекарствами, мазями или другими методами. Сначала нужно выявить причину. В ходе терапии врач назначит обезболивающие препараты:
- анальгетики и НПВС;
- миорелаксанты для снятия тонуса мышц;
- спазмолитики для устранения спазмов;
- стероидные средства от острых болей и воспаления;
- хондропротекторы для защиты суставов.
Могут потребоваться и другие медикаменты, а также физиотерапевтические процедуры и ношение бандажа при травмах.
Существуют средства народной медицины, способные помочь человеку:
- Мазь из камфорного спирта. Берут 160 мл спирта, 250 мл медицинской желчи и 2 ст. л. острого перца. Настраивают 7 дней, наносят на ткань и прикладывают на несколько часов к больной зоне.
- Хвощевой порошок. Смешивают со сливочным маслом 1 к 1 и наносят на больную зону на 1 ночь, замотав пищевой пленкой.
Помогает снять боль гимнастика, но назначать ее должен доктор, чтобы упражнения не навредили самочувствию пациента.
Причин болей в ключицах много: инфекции, воспаления, болезни органов, суставов, мышц и даже костей. Все они требуют профессиональной диагностики и назначения лечения. Только после консультации специалиста можно получить рабочий план по устранению причины болей.

Источник
Ключицей называется кость, входящая в состав плечевого пояса и находящаяся прямо над первым ребром. Сзади ее оконечность упирается в выемку в верхней части лопатки, спереди – в ключичную ямку на рукоятке грудины, связывая между собой эти части скелета. Как и большинство других костей в скелетном аппарате человека, ключичные кости являются парными. Они располагаются симметрично относительно центра грудной клетки и входят в скелетно-мышечную систему, обеспечивающую подвижное соединение руки с туловищем.
Перечень возможных причин боли
Боль в ключице и плече чаще всего бывает отраженной, если не было травм
Боль в области ключицы справа может быть симптомом целого ряда заболеваний. Сама по себе ключичная кость болит довольно редко. В большинстве случаев боль в правой ключице носит отраженный характер – ее причиной является патология расположенных справа внутренних органов, суставов, мышц или тканей. Среди возможных причин боли в ключице справа следует упомянуть:
- Травмы – ушибы, смещения, вывихи, переломы ключичной либо плечевой кости. Чаще всего такое случается, когда человек при падении ударяется плечом обо что-то твердое – асфальт, камень, деревянный брус и т.д.
- Острый или хронический правосторонний миозит (воспаление мышц) плеча или шеи, являющийся следствием сильного переохлаждения, перенесенной инфекции либо длительного напряжения мускулатуры, если приходится тяжело работать или тренироваться – например, выполнять отжимания.
- Остеохондроз шейного и верхней части грудного отдела позвоночника, а также шейно-плечевого сплетения. Причиной данной формы патологии становится нарушение обмена веществ, недостаток физической активности, длительное сохранение неудобной статичной позы, неправильная осанка, избыточный вес, возрастные изменения костной и мышечно-связочной ткани.
- Радикулопатия – повреждение, поражение или защемление нервных корешков шейного или грудного отделов позвоночного столба. Толчком к развитию заболевания может стать грыжа межпозвонкового диска.
- Артрит и артроз плечевого сустава, плече-лопаточный периартрит, развивающиеся из-за травм, инфекционных заболеваний, аутоиммунных процессов, особое влияние на прогрессирование которых оказывает психосоматика. Расстройство иммунной системы, приводящее в действие механизм артропатии, может быть спровоцировано частыми стрессами, поэтому психосоматический фактор здесь играет значительную роль.
- Невралгия плеча. Острый воспалительный процесс в районе нервных узлов, отвечающих за иннервацию правой части плечевого пояса, способно вызвать переохлаждение, инфекция, травма, защемление нерва при шейном и грудном остеохондрозе.
- Боль под правой ключицей спереди может быть одним из симптомов развития патологического процесса в подключичном лимфоузле.
Ключица и плечо справа иногда болит при патологии внутренних органов, расположенных в области грудной клетки. Такую симптоматику могут демонстрировать болезни бронхолегочной системы – правосторонняя пневмония и/или плеврит, а также тромбоэмболия легочной артерии, либо сердечно-сосудистые заболевания – стенокардия, инфаркт миокарда.
У женщин отдача болевого синдрома в область ключицы и подмышки справа может отмечаться при остром течении мастита в правой молочной железе. Заболевания органов, находящихся в правом боку живота – желудка, печени, желчного пузыря, – связаны с болью в плече или ключице также из-за радикулопатии.
Симптоматическая картина
Каждой патологии свойственны общие и индивидуальные черты. Они позволяют уже при проявлении первых признаков предположить тот или иной диагноз.
Травмы
При переломе имеются внешние признаки — асимметрия обеих ключиц, деформация кожи над местом травмы
Перелом ключицы практически всегда вызывает внешнюю деформацию кости, так как она одна из наиболее тонких в составе скелетного аппарата человека. К тому же ключица окружена сильными мышцами, спазм которых при травме приводит к сдвигу костных отломков. В месте перелома чувствуется острая болезненность, ткани вокруг него опухают с каждым часом всё больше. При надавливании, попытке сделать движение рукой или поднять ее боль усиливается. Если отломок кости сдавливает 3 или 4 позвонок, появляются такие симптомы, как онемение за ухом, «отяжеление» языка, комок в горле.
Вывих ключичной кости также сопровождается ее смещением, отеком и болью при движении. Человек не способен пошевелить плечом, высоко поднять, низко опустить или отвести в сторону руку. При нажатии ключица может встать на место, однако ее положение неустойчиво.
Миозит
Миозит — это воспаление мышечной ткани, расположенной над ключицей. Симптомы схожи с невралгией.
Для воспаления мышц в районе ключицы и плеча характерна ноющая боль и слабый подкожный отек. Мускулы напряжены, кожа над ними горячая, ее чувствительность значительно повышается, шевелить рукой больно. Возможна незначительная гипертермия – общее повышение температуры тела, чувство тяжести и боли в голове.
Остеохондроз
Болевой синдром в плече и ключице, провоцируемый этим недугом, носит постоянный характер и развивается по нарастающей. В правой стороне спины, плечевом суставе ломит кости и тянет мышцы. Движения при повороте туловища и шевелении конечностью сопровождаются хрустом и могут вызывать резкую боль – в спине, плече и ключице «стреляет». Также стреляющая боль возможна и при резком вдохе и выдохе.
Радикулопатия
Артроз, радикулопатия и остеохондроз возникают по причине повреждения хрящевой ткани
Симптоматика во многом совпадает с той, которая вызывается остеохондрозом. Возникает покалывание, жжение и мурашки под кожей, онемение в конечностях, мышцы слабеют и постепенно атрофируются.
Артропатия плечевого сустава
Симптомы зависят от степени прогрессирования заболевания. На ранней стадии болезни плечо лишь периодически немного ноет, а болевой синдром под ключицей проявляется только после значительной физической нагрузки. По мере усугубления состояния боль возникает все чаще и постепенно становится постоянной, «стреляет», отдавая в ключицу, локоть и кисть. Попытки поднять руку вверх сопровождаются характерными щелчками. Плечевой сустав деформируется, в костной и хрящевой ткани активизируются дегенеративные процессы.
Невралгия плеча
Среди признаков патологии – возникающие время от времени непроизвольные подергивания плечевой мускулатуры и отечность в мышцах, приводящая к сдавливанию нервных окончаний и онемению руки. При отсутствии медицинской помощи не исключается паралич верхней конечности.
Легочные и сердечно-сосудистые патологии
Если присутствует кашель и температура тела повышена, нужно сделать флюорографию
Для заболеваний этого типа помимо болей в ключице и плече характерны загрудинные боли, кашель. Становится трудно дышать, попытка делать глубокие вздохи усиливает болевой синдром в груди и плечевом поясе. Проблемы с дыханием обостряются при интенсивной физической нагрузке и беге.
Описываемая симптоматика сопутствует достаточно большому количеству патологий, по одним только внешним признакам определить, чем именно болен человек, в большинстве случаев не представляется возможным. Для установления точного диагноза необходимо обращаться к врачу
Диагностика и лечение
При первом обращении делают рентген, чтобы проверить целостность костей
При подозрении на любое заболевание пациенту необходимо как можно скорее обратиться за медицинской помощью, чтобы пройти обследование и получить необходимое лечение. Это особенно важно, если речь идет о возможной травме ключичной или плечевой кости.
Основной способ диагностики травм костно-мышечного аппарата – рентгеноскопия. Рентгеновские снимки позволяют врачу с абсолютной точностью определить место и характер смещения, вывиха или перелома ключичной кости, а также убедиться в правильности проведенной коррекции и в динамике наблюдать процесс восстановления поврежденных тканей. В последние десятилетия с этой целью используются также методики ультразвукового исследования, магнитно-резонансной и компьютерной томографии (УЗИ, МРТ, КТ). Они позволяют ставить диагнозы не только при травматических повреждениях, но и при других видах патологических нарушений, являющихся следствием внутренней дисфункции различных систем организма.
Если врач предполагает, что боли в ключице и плече являются следствием воспалительного процесса, проводятся лабораторные анализы крови, позволяющие определить первопричину и степень этого воспаления.
Лечить боли в ключице и плече в зависимости от их причины, приходится различным специалистам:
- Лечением травм занимается хирург-травматолог. После рассмотрения рентгеновского снимка он исправляет перелом или вывих, фиксирует конечность и вводит анальгетики, чтобы снять боль. Время фиксации в зависимости от возраста пациента и тяжести травмы длится от 3 до 6 недель. В случае разрыва связок травмы корректируются оперативным путем по методу лапароскопии.
- Артропатии находятся в ведении ревматолога. Для улучшения состояния больному назначаются нестероидные противовоспалительные лекарственные препараты – Ибупрофен, Диклофенак. Кетопрофен – в форме инъекций, таблеток, мазей. Принимать лекарства необходимо под контролем врача.
- Остеохондроз и радикулопатию лечит невролог. Как правило, применяются консервативные методики терапии, но в тяжелых случаях, чреватых серьезными осложнениями, врач рекомендует операцию.
Миозит хорошо поддается терапии народными средствами – согревающими компрессами и растирками. Если диагностика устанавливает, что боль в ключице спровоцирована патологиями внутренних органов, их лечением занимаются кардиолог, пульмонолог, гастроэнтеролог либо терапевт.
Своевременно начатая и грамотно проведенная терапия гарантирует излечение патологии либо переведение болезни в состояние стойкой длительной ремиссии.

Источник









